Frattura prossimale dell'omero
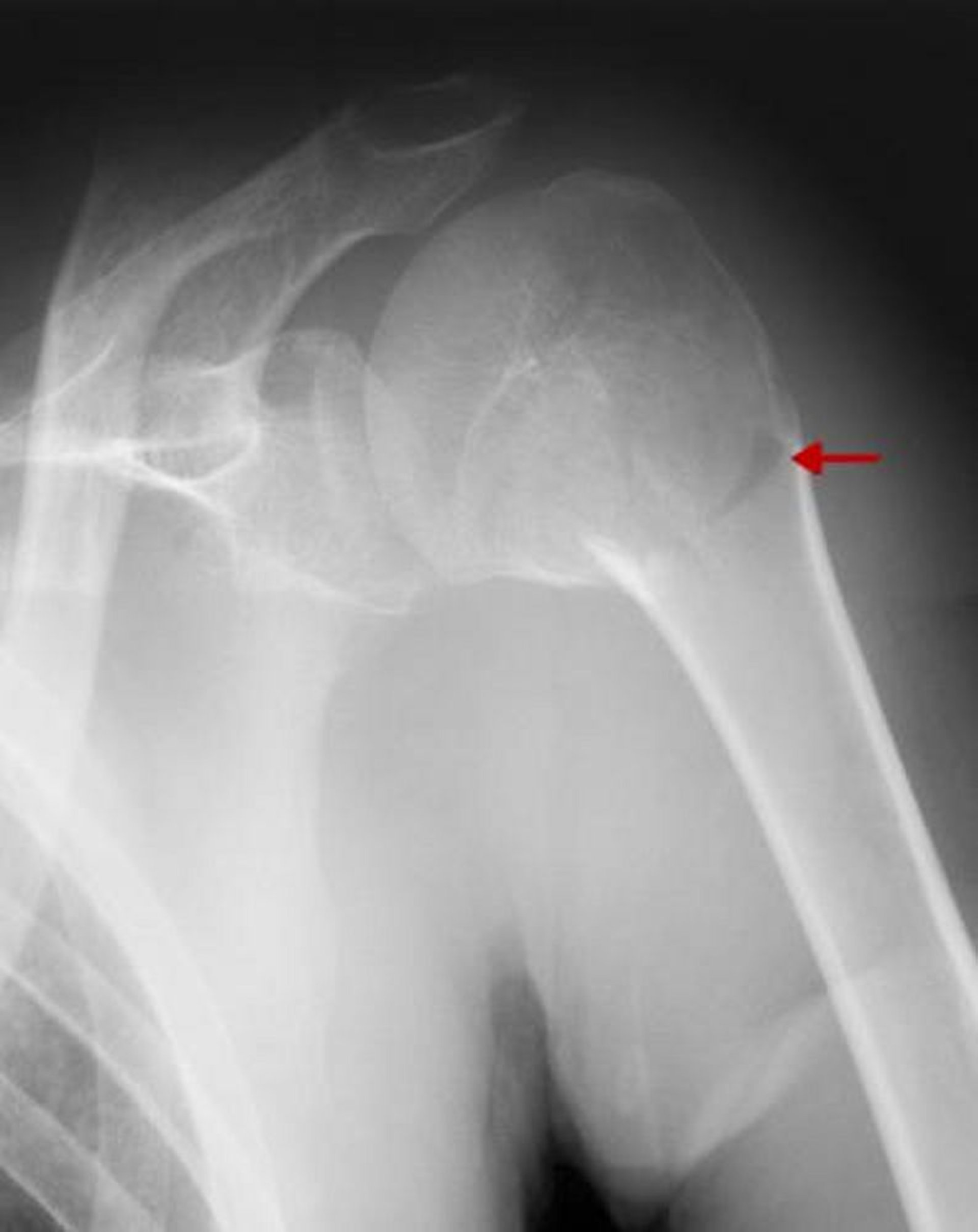
Questa frattura coinvolge il collo chirurgico. Poiché non vi è uno spostamento significativo o un'angolazione > 45°, si tratta di una frattura a un frammento.
ZEPHYR/SCIENCE PHOTO LIBRARY
In questi argomenti
Questa frattura coinvolge il collo chirurgico. Poiché non vi è uno spostamento significativo o un'angolazione > 45°, si tratta di una frattura a un frammento.
ZEPHYR/SCIENCE PHOTO LIBRARY