Frattura osteoporotica da compressione
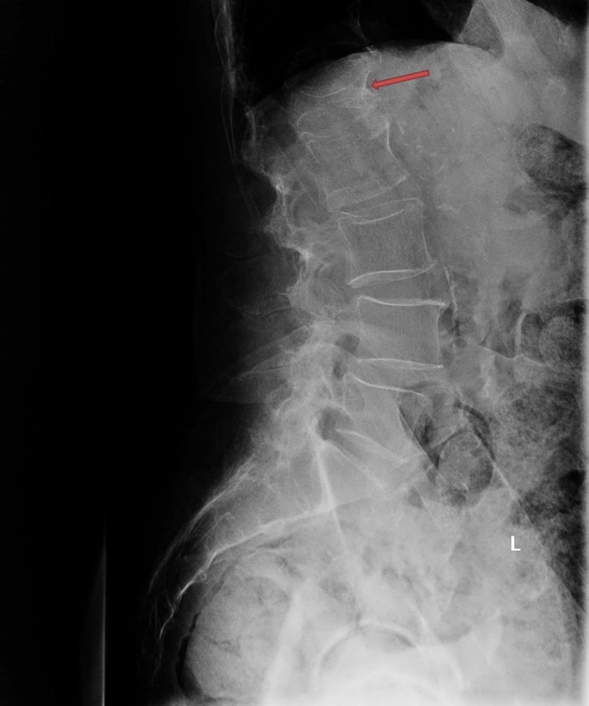
Questa RX mostra una grave frattura da compressione osteoporotica della prima vertebra lombare (L1; freccia).
Photo courtesy of Marcy B. Bolster, MD.
In questi argomenti
Questa RX mostra una grave frattura da compressione osteoporotica della prima vertebra lombare (L1; freccia).
Photo courtesy of Marcy B. Bolster, MD.