Frattura mediale della diafisi femorale (2)
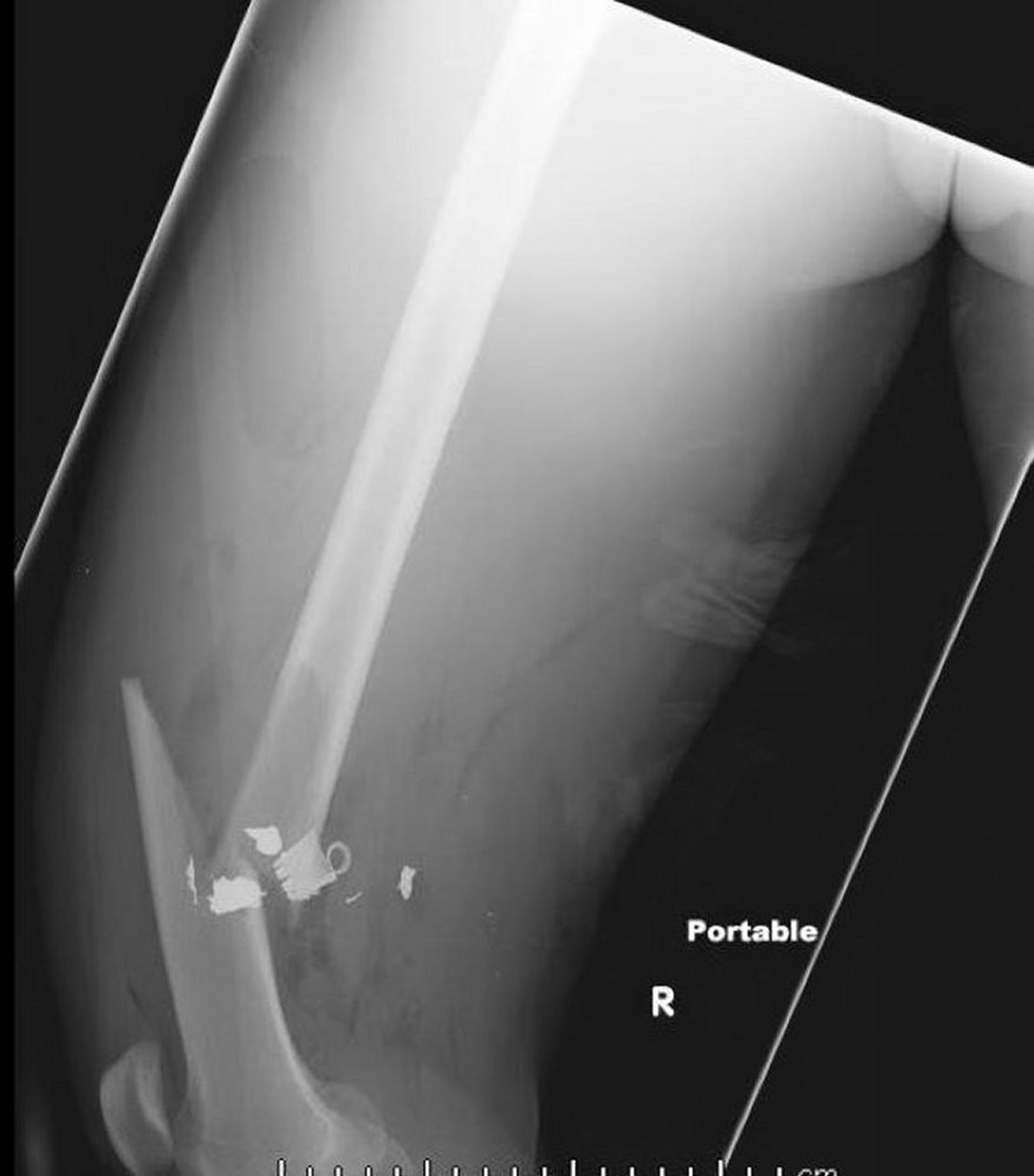
Questa radiografia di profilo del femore mostra una frattura mediale della diafisi femorale con aria nei tessuti molli e corpi estranei di densità metallica trattenuti.
Image courtesy of Danielle Campagne, MD.
In questi argomenti
