Frattura dell'olecrano
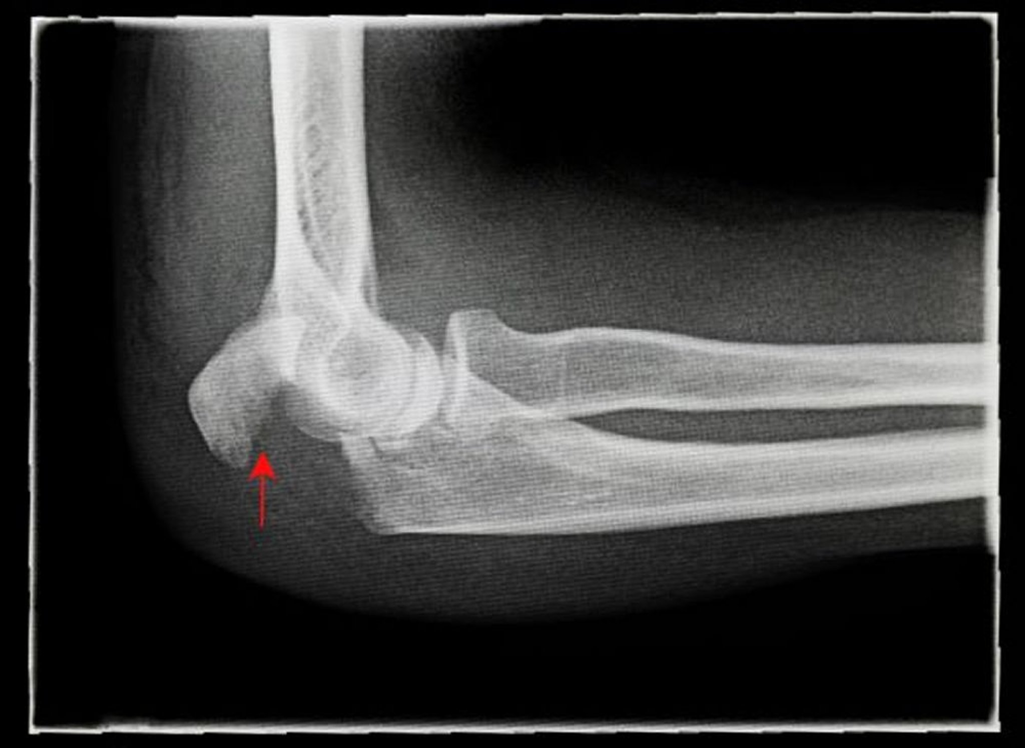
Questa radiografia di profilo mostra una frattura scomposta dell'olecrano (freccia).
Credit line: ANTONIA REEVE/SCIENCE PHOTO LIBRARY
In questi argomenti
Questa radiografia di profilo mostra una frattura scomposta dell'olecrano (freccia).
Credit line: ANTONIA REEVE/SCIENCE PHOTO LIBRARY