Frattura della rotula
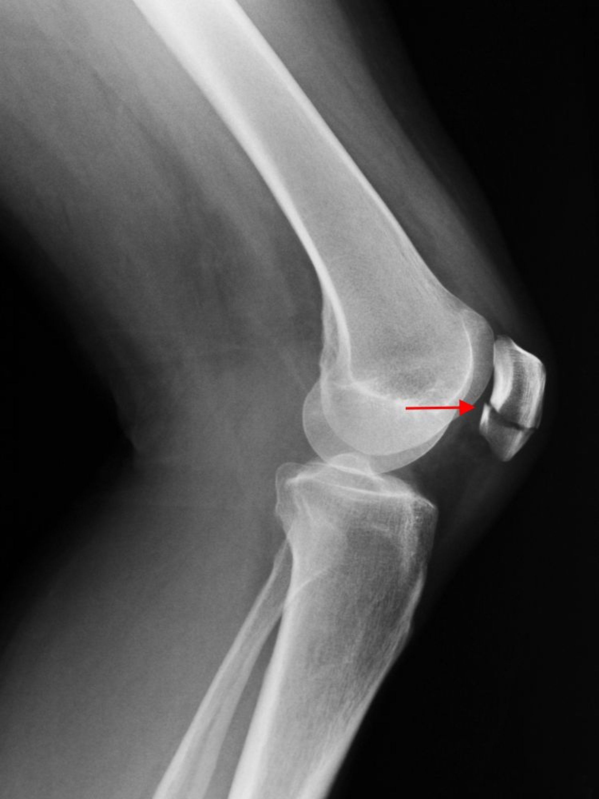
Una radiografia di profilo del ginocchio mostra una frattura trasversale della rotula (freccia).
SCOTT CAMAZINE/SCIENCE PHOTO LIBRARY
In questi argomenti
Una radiografia di profilo del ginocchio mostra una frattura trasversale della rotula (freccia).
SCOTT CAMAZINE/SCIENCE PHOTO LIBRARY