honeypot link
skip to main content
Professionisti
Pazienti
Manuale Msd
Versione per i professionisti
ARGOMENTI DI MEDICINA
RISORSE
COMMENTI
PROCEDURE
QUIZ
INFORMAZIONI
ARGOMENTI DI MEDICINA
RISORSE
<
Immagini
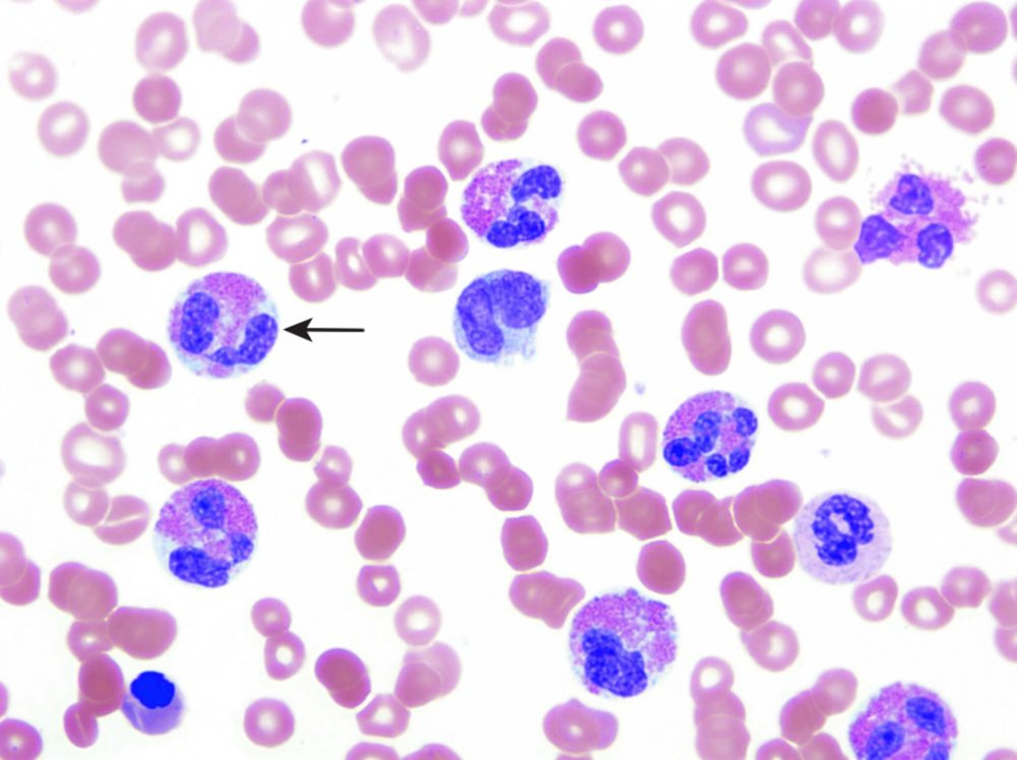
Eosinofilia (striscio di sangue periferico)
Questa immagine mostra delle cellule eosinofile (freccia).
© Springer Science+Business Media
In questi argomenti
Eosinofilia
>