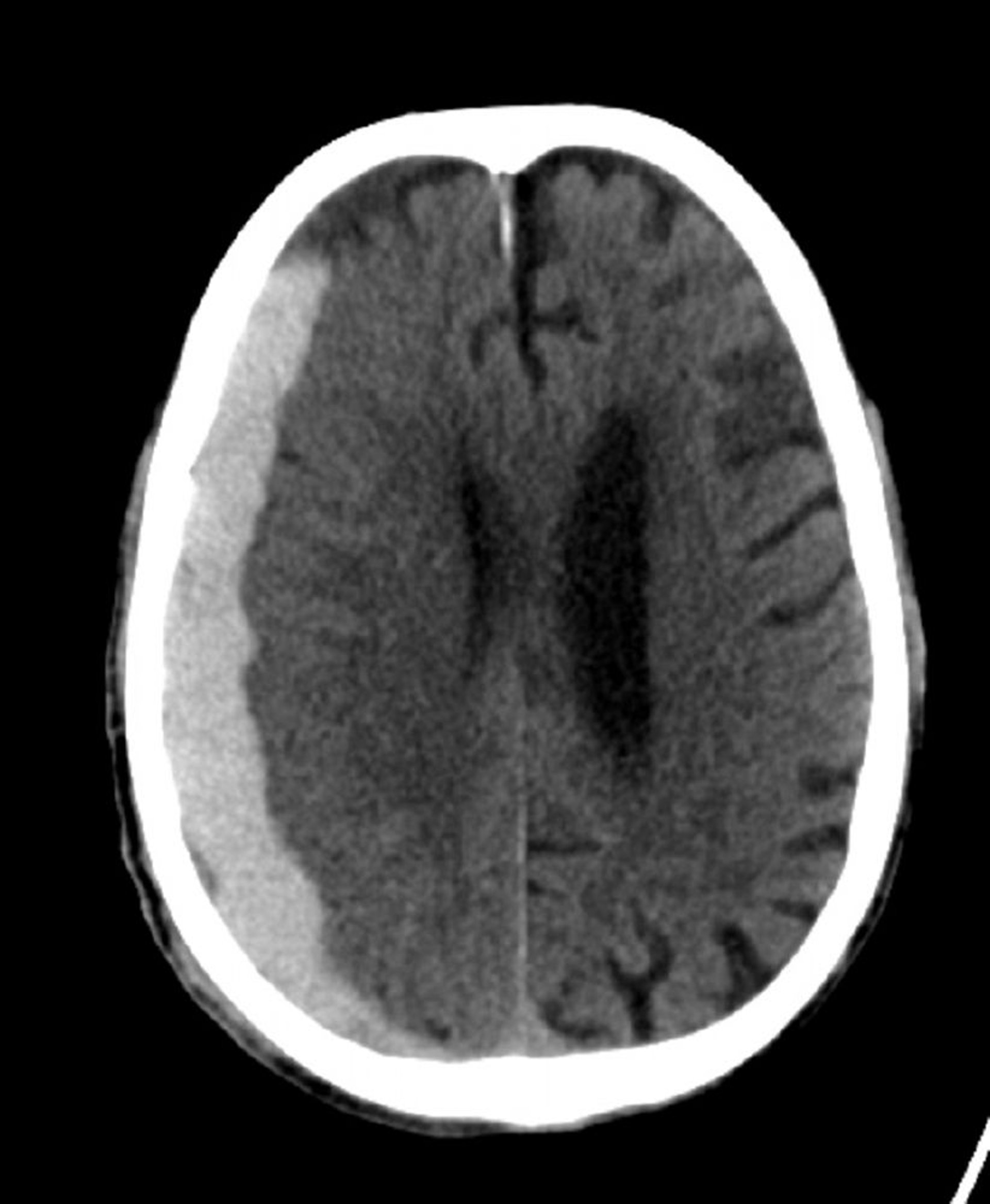
Emorragia subdurale (TC)
Iperdensità classica a forma di mezzaluna che si estende attraverso le linee di sutura.
© 2017 Elliot K. Fishman, MD.
Iperdensità classica a forma di mezzaluna che si estende attraverso le linee di sutura.
© 2017 Elliot K. Fishman, MD.