Emorragia subaracnoidea
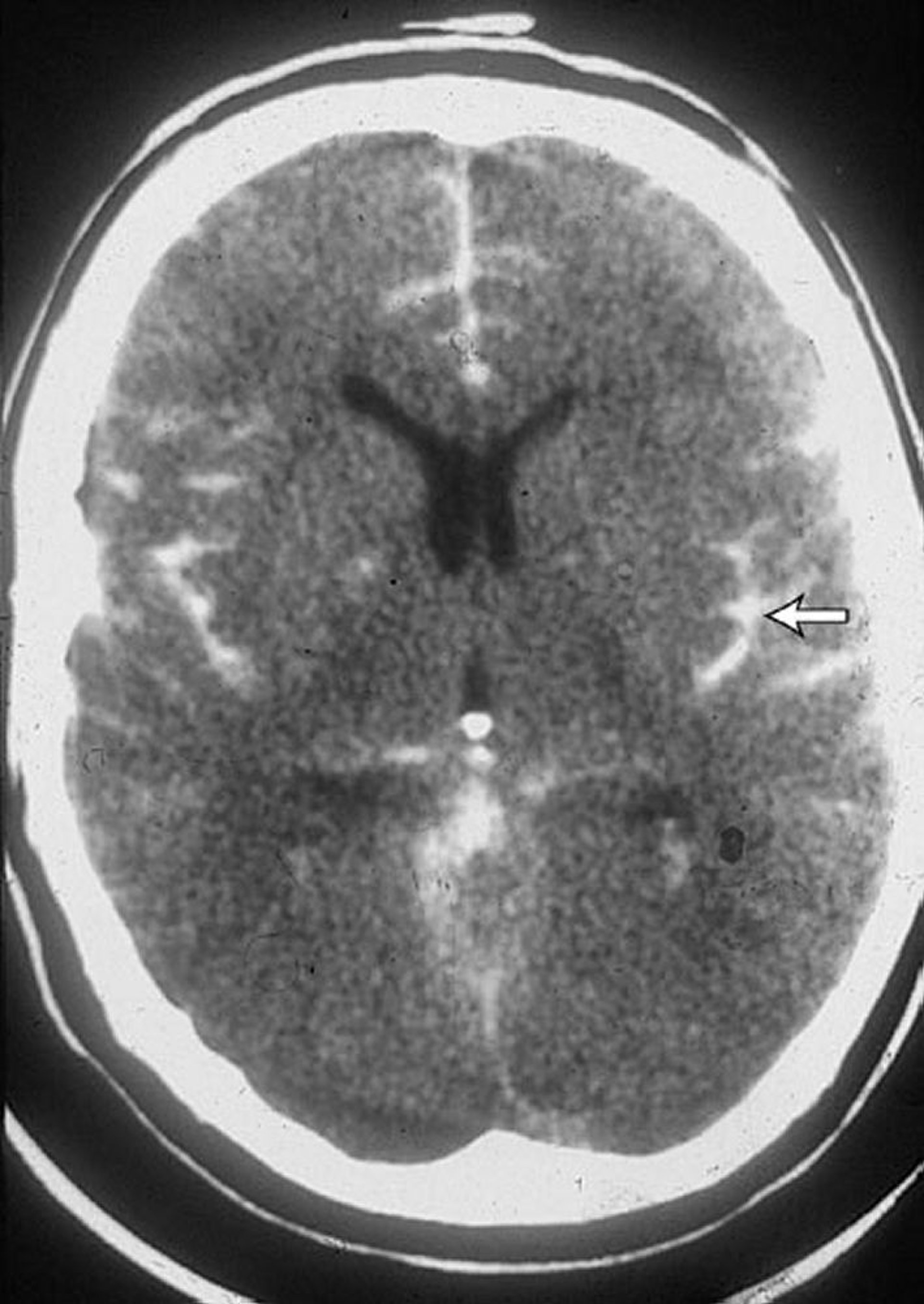
Questa scansione TC in un paziente con un'emorragia subaracnoidea mostra sangue nei solchi (freccia). Del sangue è spesso visibile anche nei ventricoli.
By permission of the publisher. From Lenaerts M, Couch J. In Atlas of Clinical Neurology. Edited by RN Rosenberg. Philadelphia, Current Medicine, 2002.
In questi argomenti
