honeypot link
skip to main content
Professionisti
Pazienti
Manuale Msd
Versione per i professionisti
ARGOMENTI DI MEDICINA
RISORSE
COMMENTI
PROCEDURE
QUIZ
INFORMAZIONI
ARGOMENTI DI MEDICINA
RISORSE
<
Immagini
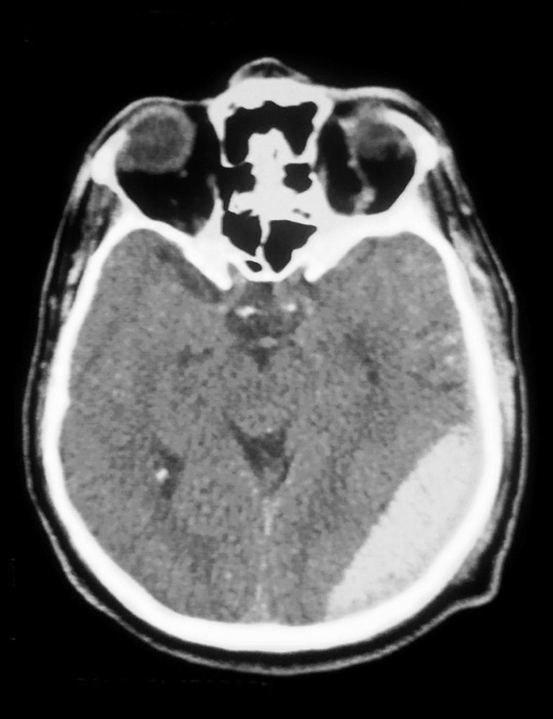
Ematoma epidurale
TC di un ematoma epidurale (opacità in basso a destra).
Cavallini James/BSIP/SCIENCE PHOTO LIBRARY
In questi argomenti
Lesione cerebrale traumatica
>