Emangioma cavernoso
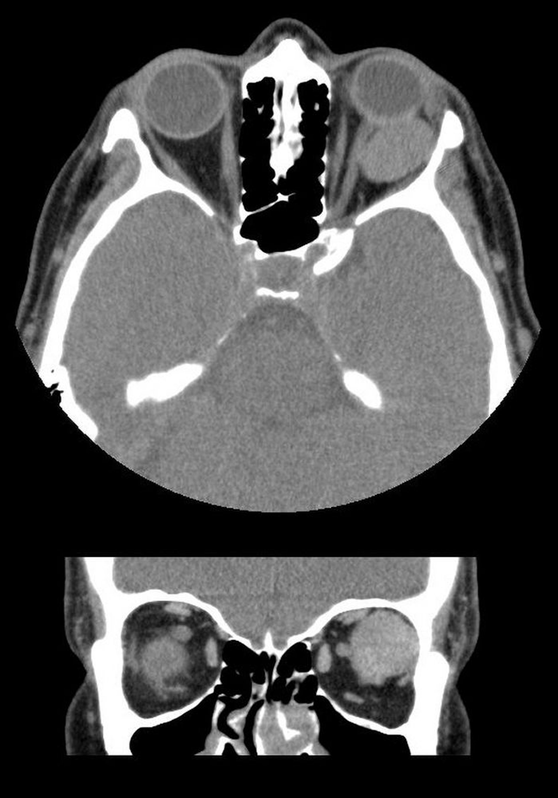
In questa immagine, le TC assiale (in alto) e coronale (in basso) mostrano una massa intraconale ben demarcata dietro il globo oculare sinistro. La massa è una malformazione venosa cavernosa.
Images courtesy of James Garrity, MD.
In questi argomenti
