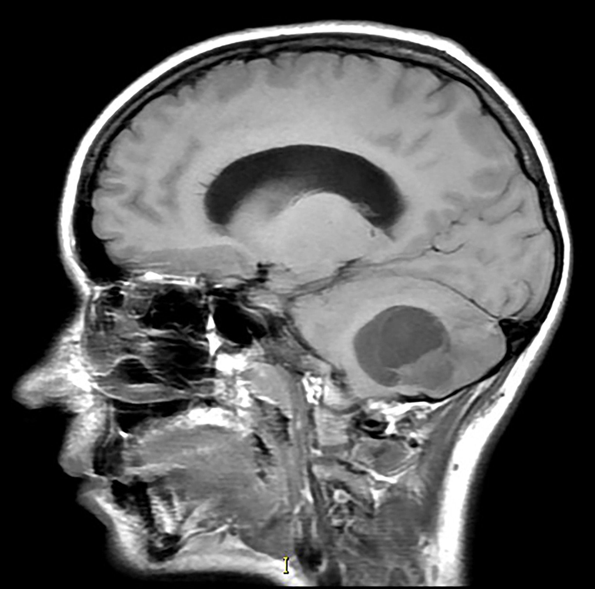
Emangioblastoma cerebellare (RM)
Questa immagine RM sagittale, pesata in T1, senza contrasto mostra una massa parzialmente cistica e solida nel cervelletto inferiore con effetto massa associato. Questo è l'aspetto più comune di un emangioblastoma. Questo tumore è visibile con maggiore frequenza nei pazienti con sindrome di von Hippel-Lindau.
Living Art Enterprises/SCIENCE PHOTO LIBRARY
In questi argomenti
