Ecocolordoppler
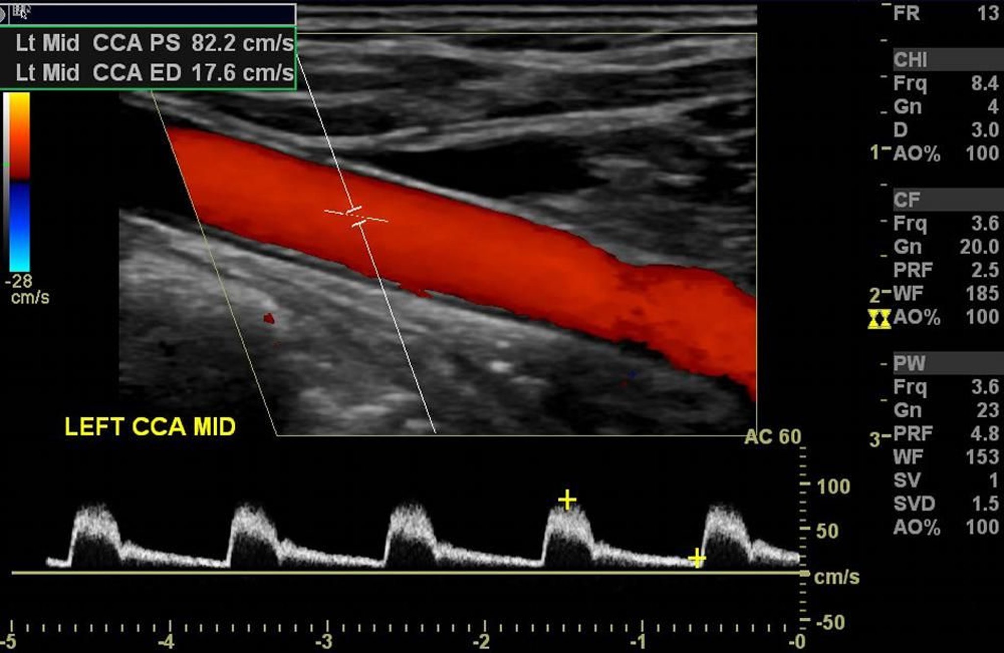
L'ecocolordoppler dell'arteria carotide sinistra mostra un flusso arterioso normale senza stenosi significativa.
Image courtesy of Hakan Ilaslan, MD.
In questi argomenti
L'ecocolordoppler dell'arteria carotide sinistra mostra un flusso arterioso normale senza stenosi significativa.
Image courtesy of Hakan Ilaslan, MD.