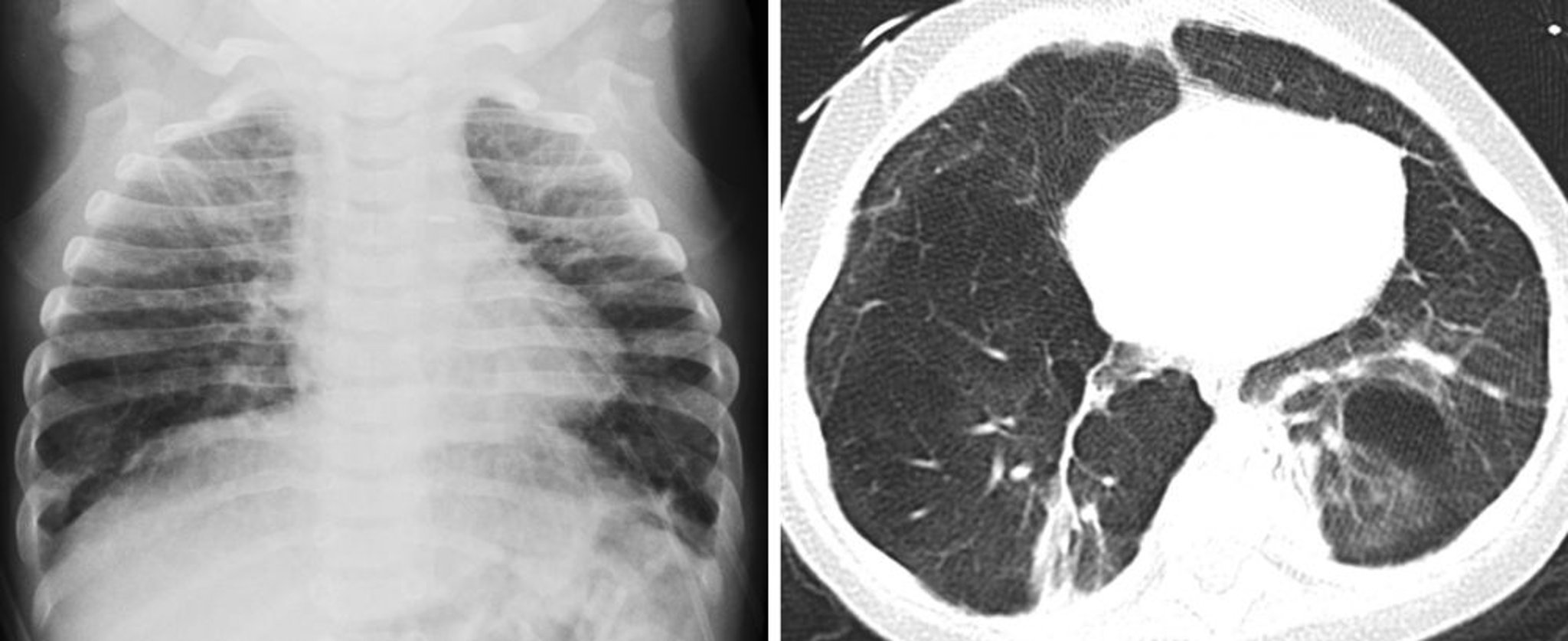
Displasia broncopolmonare (risultati di RX e TC)
Il bambino in queste immagini ha un'anamnesi di prematurità e displasia broncopolmonare. La radiografia frontale del torace sulla sinistra mostra opacità polmonari reticolari grossolane e iperinflazione in entrambi i polmoni. La TC mostra sulla destra opacità polmonari reticolari grossolane ed aerazione disordinata del polmone causata dalla fibrosi settale alveolare sottostante e da parenchima polmonare iperespanso.
© Springer Science+Business Media
In questi argomenti
