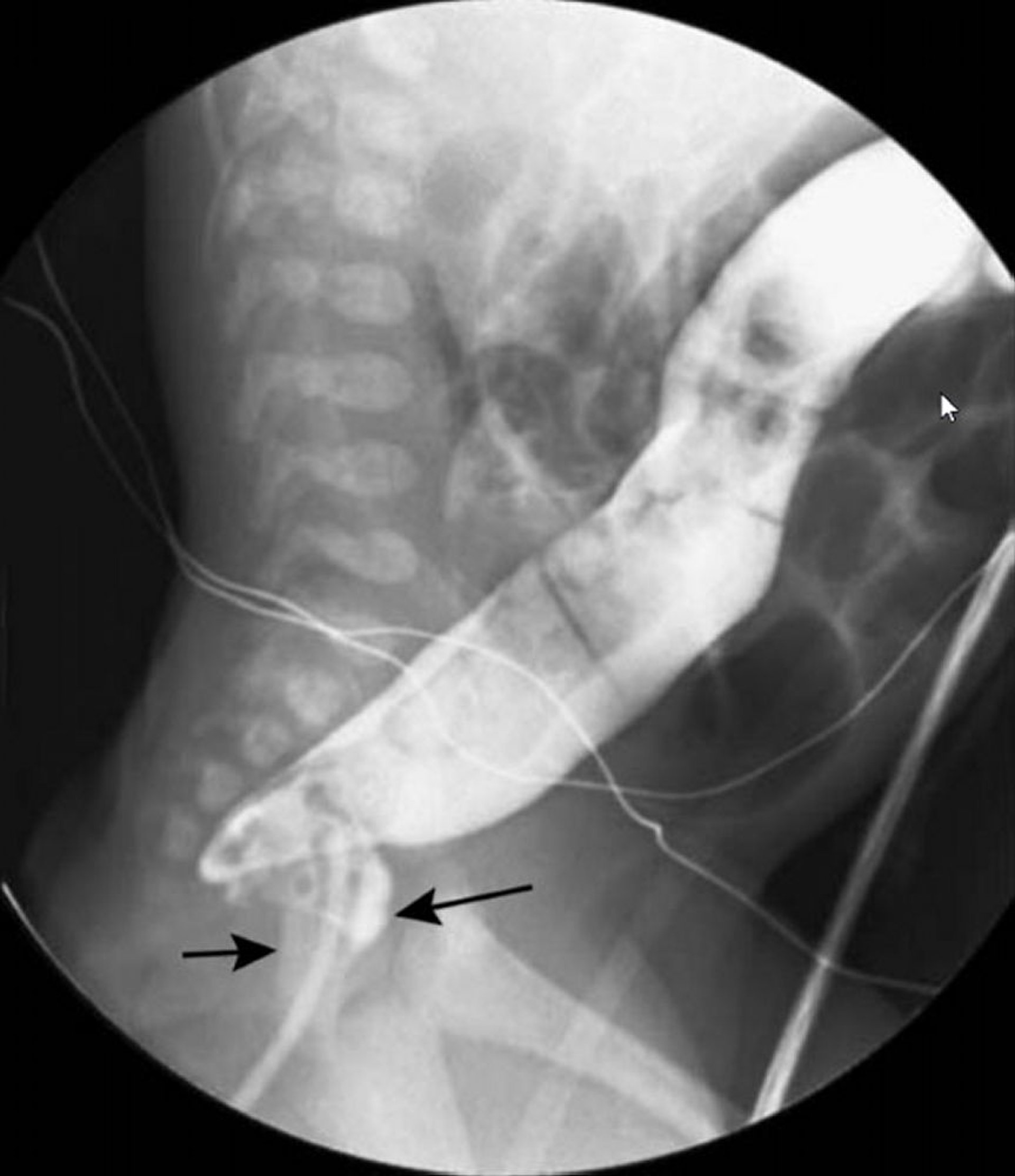
Clisma opaco a contrasto singolo che mostra l'aspetto a collo di cigno della malattia di Hirschsprung
In questa immagine, il clisma opaco mostra un retto ristretto (frecce nere) e un colon dilatato (freccia bianca) più prossimalmente.
© Springer Science+Business Media
In questi argomenti
