Cisti ossea semplice
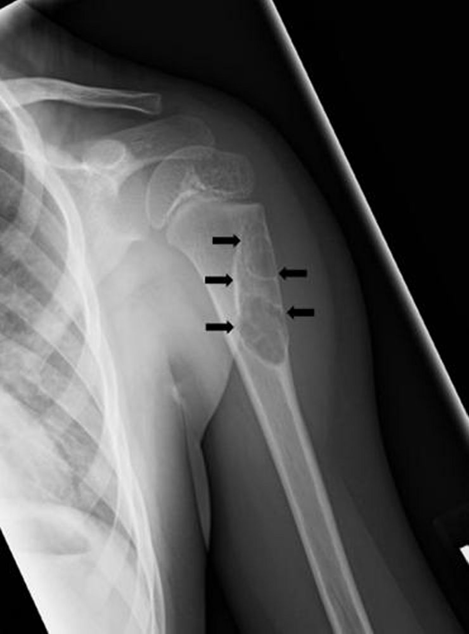
Questa radiografia mostra una lesione cistica (frecce) dell'omero in un bambino coerente con una cisti ossea unicamerale.
Image courtesy of Michael J. Joyce, MD, and Hakan Ilaslan, MD.
In questi argomenti
Questa radiografia mostra una lesione cistica (frecce) dell'omero in un bambino coerente con una cisti ossea unicamerale.
Image courtesy of Michael J. Joyce, MD, and Hakan Ilaslan, MD.