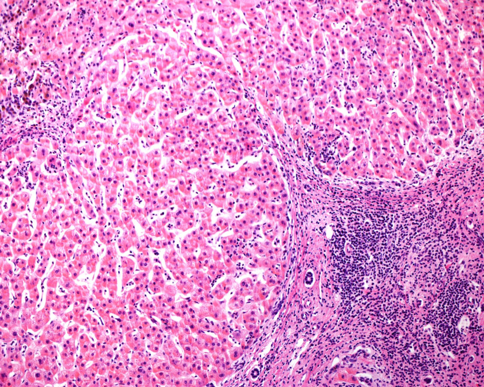
Cirrosi micronodulare nel fegato umano (micrografia ottica)
Micrografia ottica di un fegato umano con cirrosi micronodulare, una frequente conseguenza dell'epatite alcolica. I noduli rigeneranti sono separati da setti di tessuto connettivo che mostrano infiltrati infiammatori cronici. Si noti l'assenza di una vena centrale nei noduli e di triadi portali nei setti di tessuto connettivo.
JOSE CALVO / SCIENCE PHOTO LIBRARY
In questi argomenti
