Cardiomiopatia ipertrofica (variante apicale)
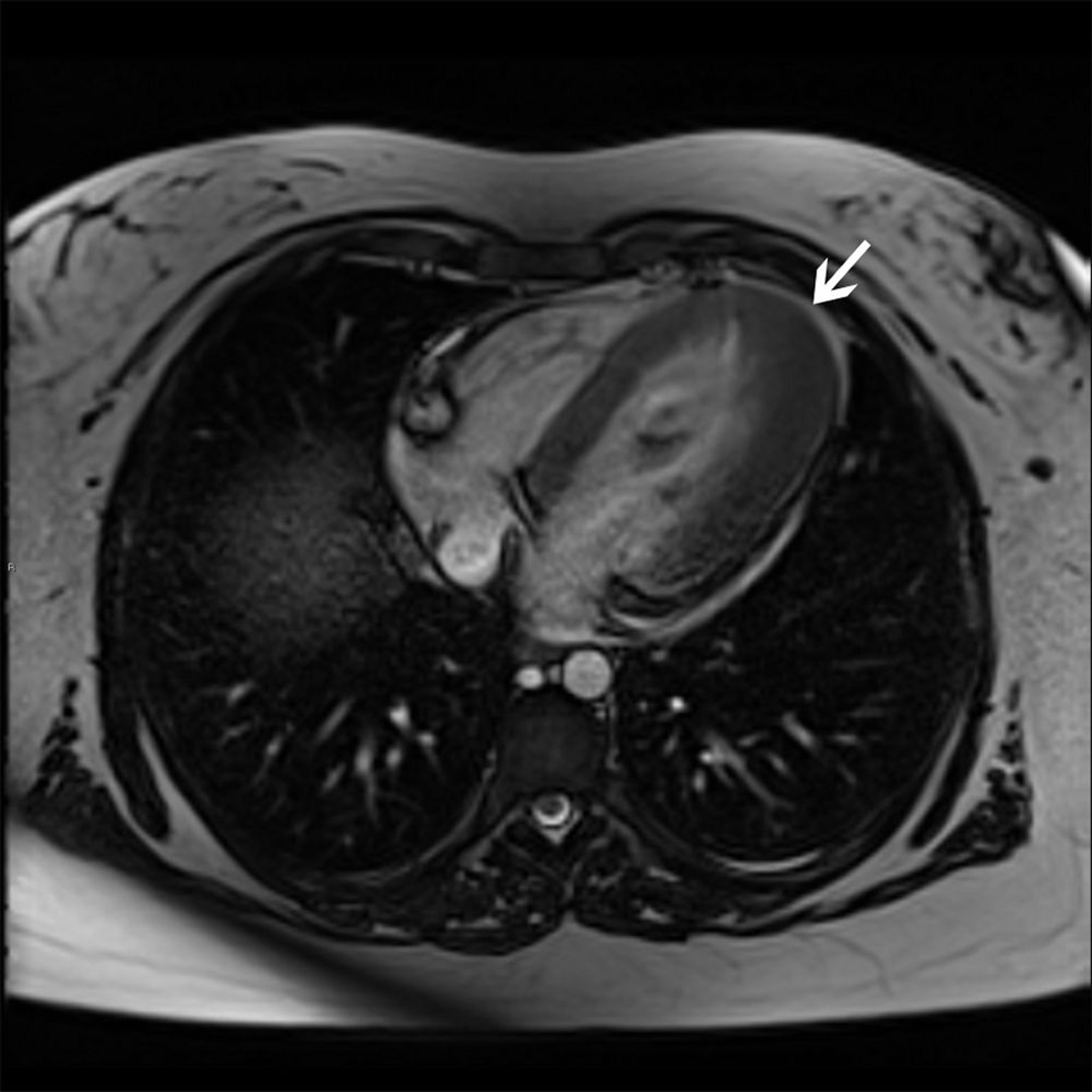
Questa RM cardiaca mostra la variante ipertrofica apicale (freccia) della cardiomiopatia ipertrofica.
© 2017 Elliot K. Fishman, MD.
In questi argomenti
Questa RM cardiaca mostra la variante ipertrofica apicale (freccia) della cardiomiopatia ipertrofica.
© 2017 Elliot K. Fishman, MD.