Broncopneumopatia cronica ostruttiva (radiografia del torace)
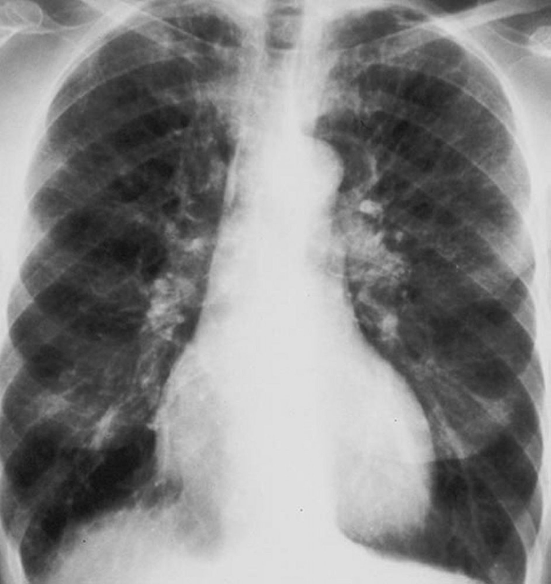
Radiografia del torace di un paziente con broncopneumopatia cronica ostruttiva. I polmoni sono iperinflati, il diaframma è appiattito, vi è accentuazione vascolare e la dimensione del cuore è leggermente aumentata.
By permission of the publisher. From Barnes P. In Bone's Atlas of Pulmonary and Critical Care Medicine. Edited by J Crapo. Philadelphia, Current Medicine, 2005.
In questi argomenti
