Bronchiectasie (TC)
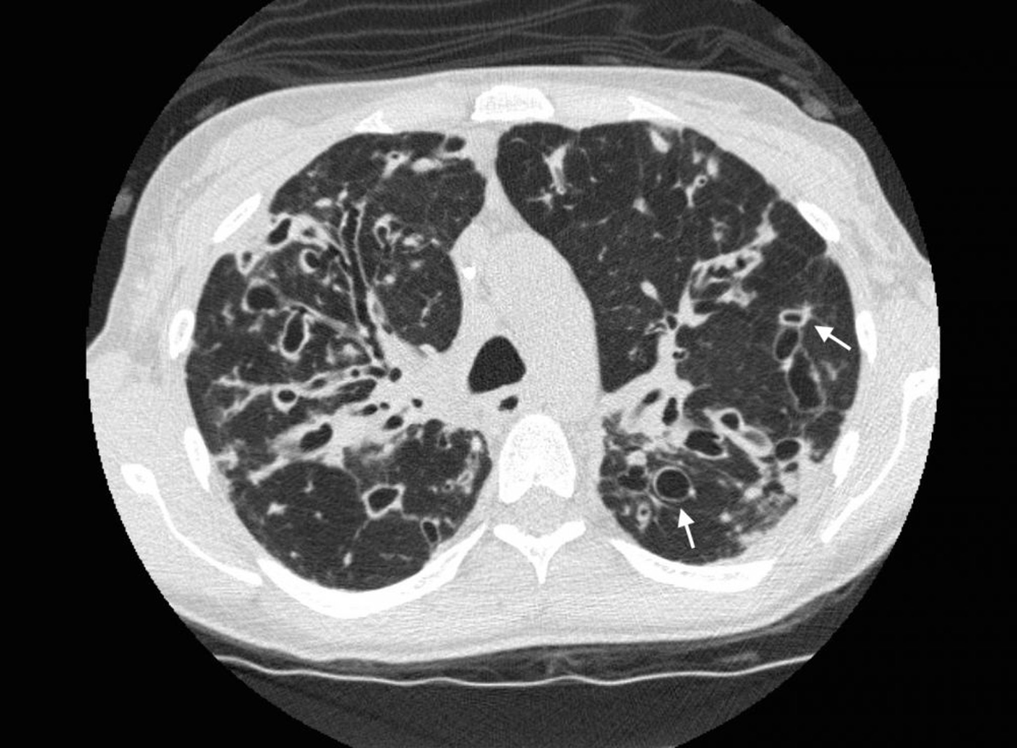
Una TC del torace in un paziente con fibrosi cistica mostra gravi bronchiectasie nelle zone polmonari superiori con vie aeree dilatate e cambiamenti cistici. Le frecce mostrano il segno dell'anello con castone, in cui una via aerea dilatata (l'anello) è adiacente a un'arteria più piccola (la parte superiore dell'anello). Normalmente, le vie respiratorie hanno le stesse dimensioni o minori delle arterie adiacenti.
Photo courtesy of Başak Çoruh, MD.
In questi argomenti
