Ascesso polmonare (TC)
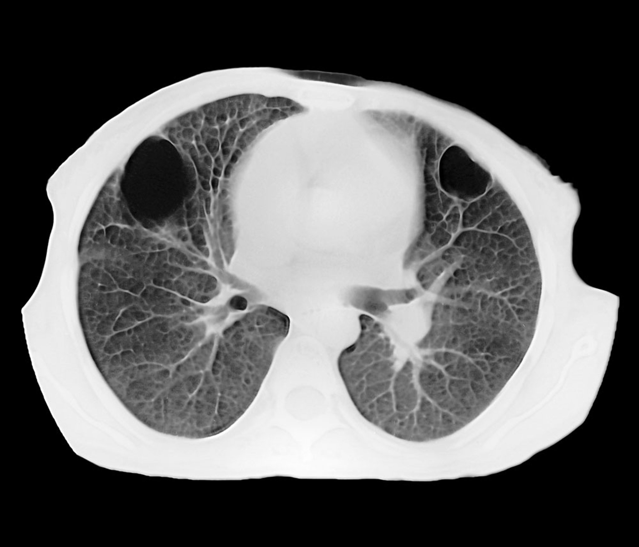
Questa TC assiale mostra 2 ascessi polmonari parenchimali ben circoscritti nei lobi anteriore destro e sinistro. L'interno nero corrisponde a un accumulo di pus.
ZEPHYR/SCIENCE PHOTO LIBRARY
In questi argomenti
Questa TC assiale mostra 2 ascessi polmonari parenchimali ben circoscritti nei lobi anteriore destro e sinistro. L'interno nero corrisponde a un accumulo di pus.
ZEPHYR/SCIENCE PHOTO LIBRARY