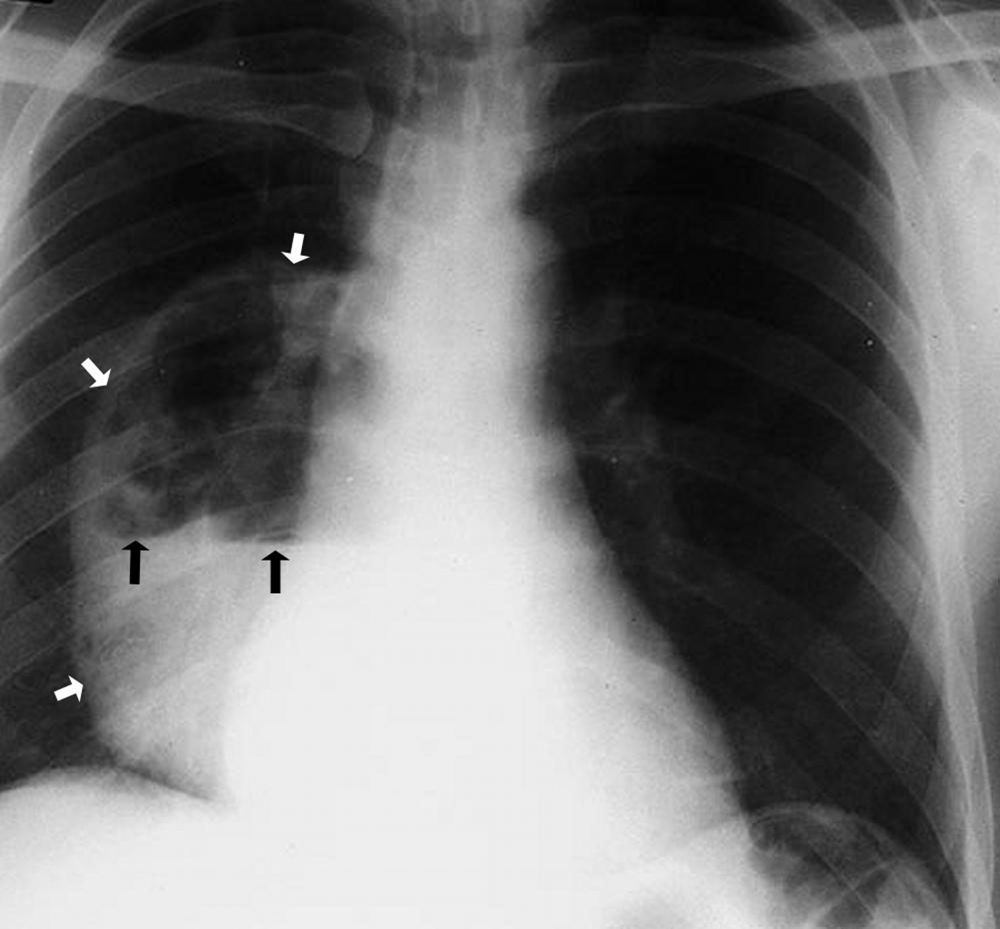
Ascesso polmonare (radiografia)
Questa foto mostra un grande ascesso del lobo inferiore destro che mostra una cavità che contiene un livello idroaereo. Le frecce bianche indicano il bordo dell'ascesso, mostrando le pareti separate dal parenchima polmonare. Le frecce nere delimitano il livello in cui l'aria sopra e il fluido sotto si incontrano.
By permission of the publisher. Da Leaf H. In Atlas of Infectious Diseases: Pleuropulmonary and Bronchial Infections. Edited by GL Mandell (series editor) and MS Simberkoff. Philadelphia, Current Medicine, 1996.
In questi argomenti
