Aorta ascendente in un paziente con arterite di Takayasu
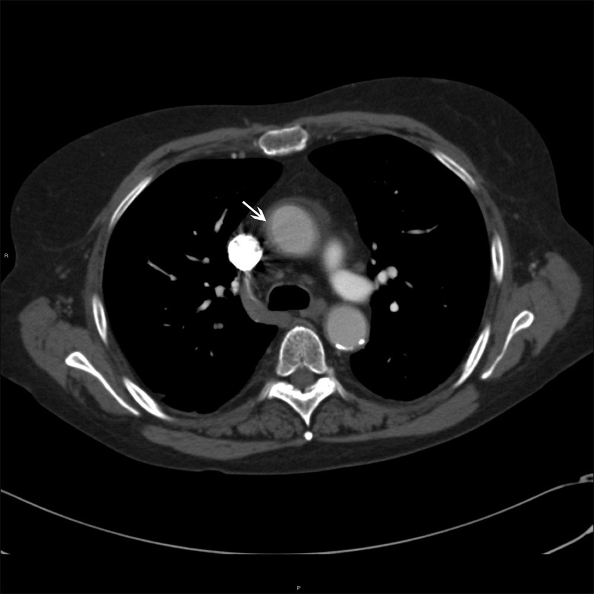
Questa foto mostra l'ispessimento murale (freccia bianca) dell'aorta ascendente in un paziente con arterite di Takayasu.
© 2017 Elliot K. Fishman, MD.
In questi argomenti
Questa foto mostra l'ispessimento murale (freccia bianca) dell'aorta ascendente in un paziente con arterite di Takayasu.
© 2017 Elliot K. Fishman, MD.