Tumore epatico metastatico
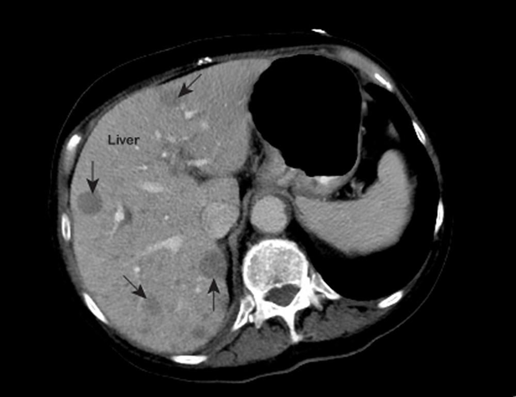
Un referto anomalo alla risonanza magnetica (RMI) del torace mostra lesioni (indicate con le frecce) intraepatiche. Questi riscontri sono caratteristici di un tumore epatico metastatico.
Foto offerta cortesemente dal Dott. Patrick O’Kane, MD.
In questi argomenti
