Spina calcaneare
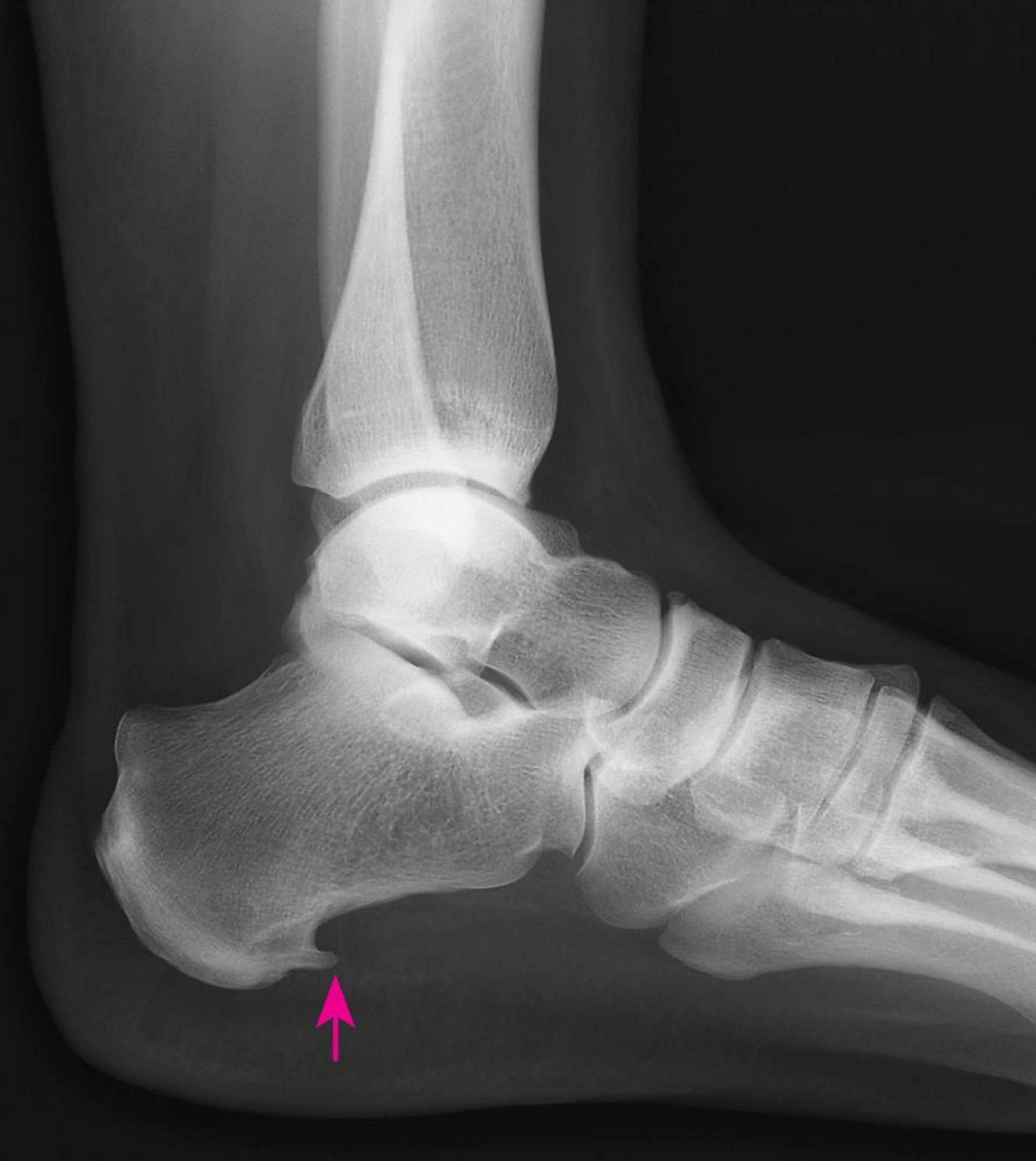
Questa radiografia mostra una spina calcaneare, una neoformazione ossea di forma appuntita sulla parte inferiore del calcagno (freccia).
ZEPHYR/SCIENCE PHOTO LIBRARY
In questi argomenti
Questa radiografia mostra una spina calcaneare, una neoformazione ossea di forma appuntita sulla parte inferiore del calcagno (freccia).
ZEPHYR/SCIENCE PHOTO LIBRARY