Pustole
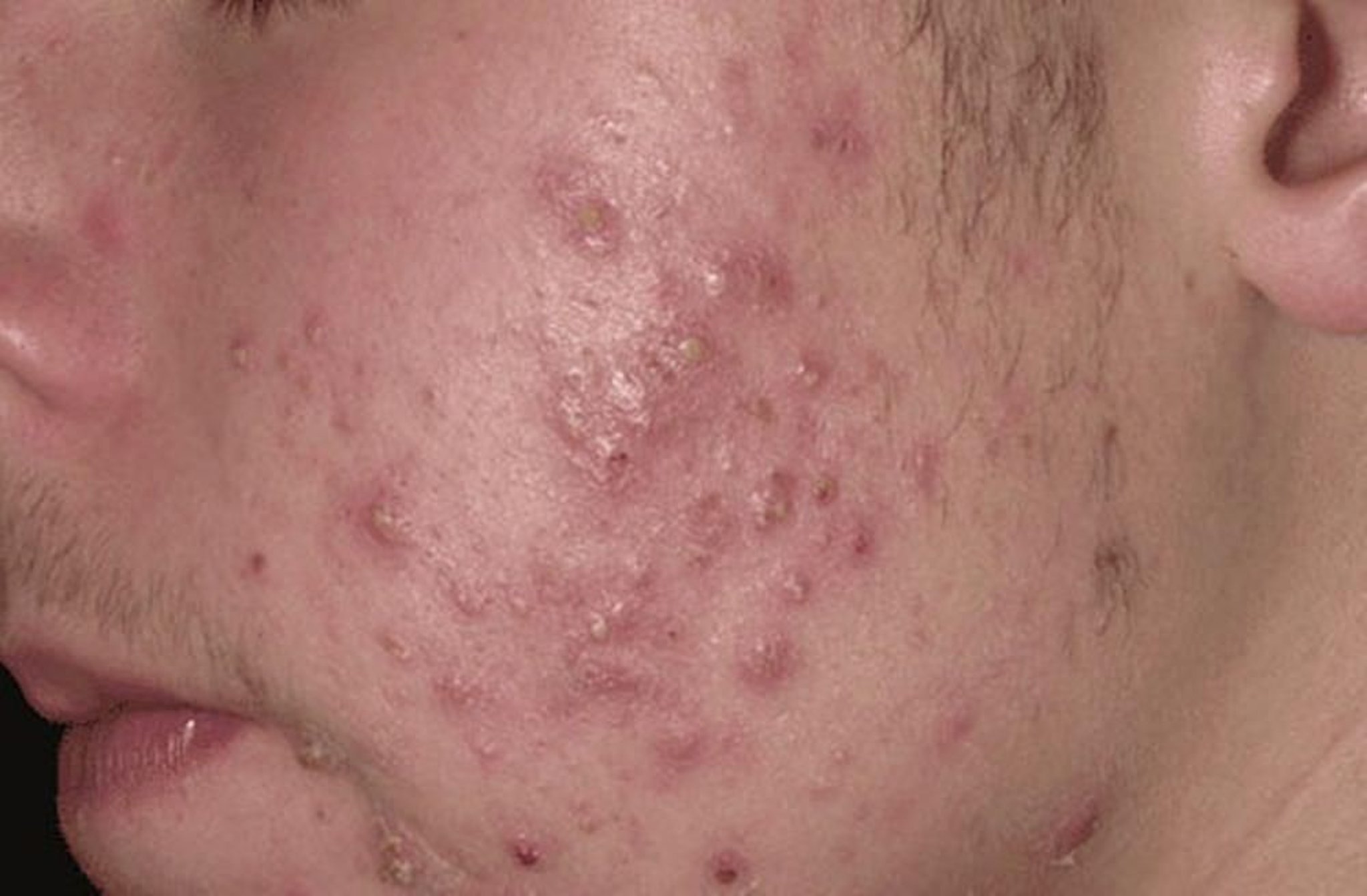
Le pustole sono macchie rilevate che, di solito, presentano un apice giallo che contiene pus. Sul viso di questa persona affetta da acne sono evidenti pustole disseminate.
Fotografia fornita dal Dott. Thomas Habif.
In questi argomenti
Le pustole sono macchie rilevate che, di solito, presentano un apice giallo che contiene pus. Sul viso di questa persona affetta da acne sono evidenti pustole disseminate.
Fotografia fornita dal Dott. Thomas Habif.