Malocclusione
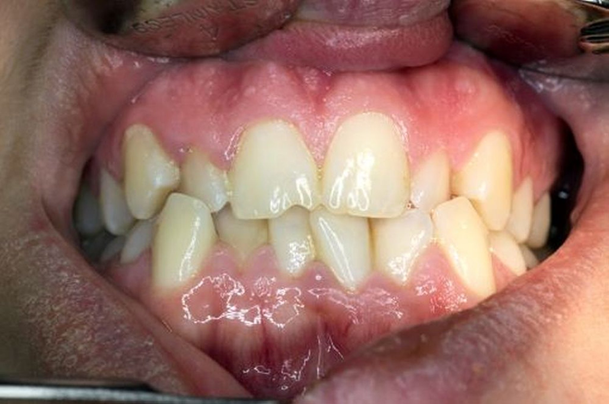
I denti superiori e inferiori sono disallineati quando la mandibola viene chiusa.
DOTT. ARMEN TARANYAN/SCIENCE PHOTO LIBRARY
In questi argomenti
I denti superiori e inferiori sono disallineati quando la mandibola viene chiusa.
DOTT. ARMEN TARANYAN/SCIENCE PHOTO LIBRARY