Ifema
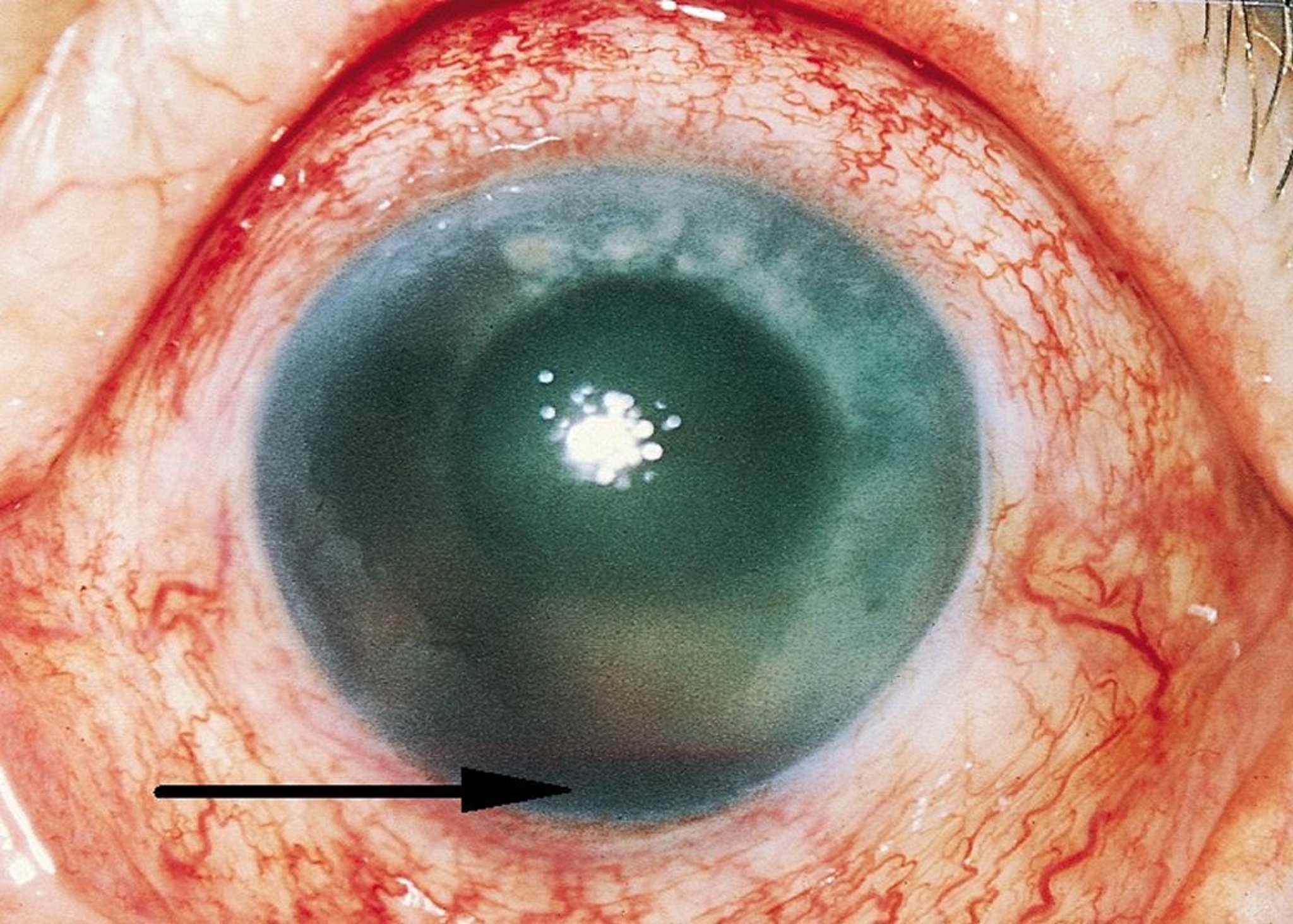
L’immagine mostra un ifema (freccia) con arrossamento della sottile mucosa che ricopre la cornea (congiuntiva).
© Springer Science+Business Media
In questi argomenti
L’immagine mostra un ifema (freccia) con arrossamento della sottile mucosa che ricopre la cornea (congiuntiva).
© Springer Science+Business Media