Gengivite
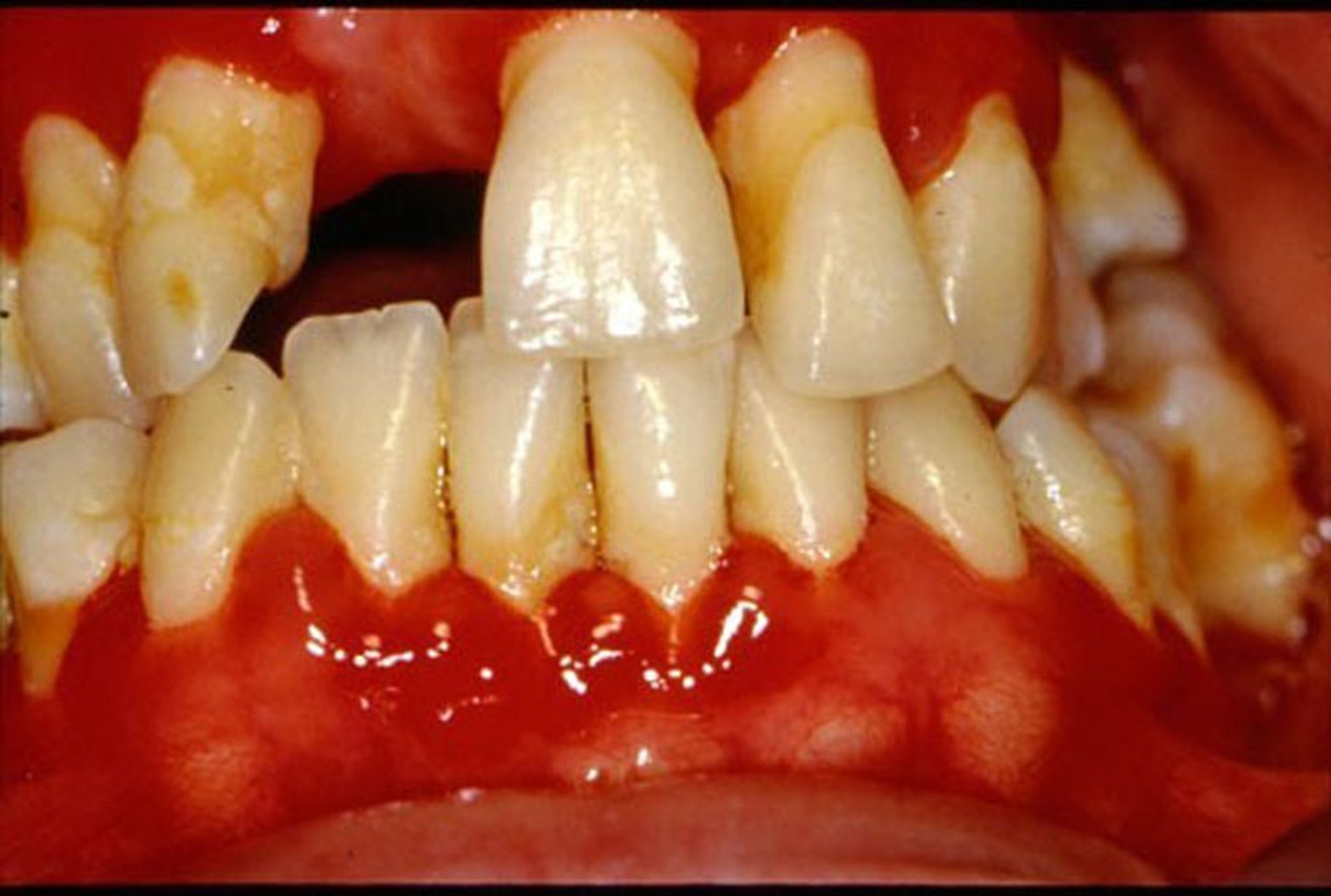
La gengivite provoca arrossamento e gonfiore delle gengive.
Immagine fornita dal Dott. Jonathan A. Ship, medico odontoiatra.
In questi argomenti
La gengivite provoca arrossamento e gonfiore delle gengive.
Immagine fornita dal Dott. Jonathan A. Ship, medico odontoiatra.