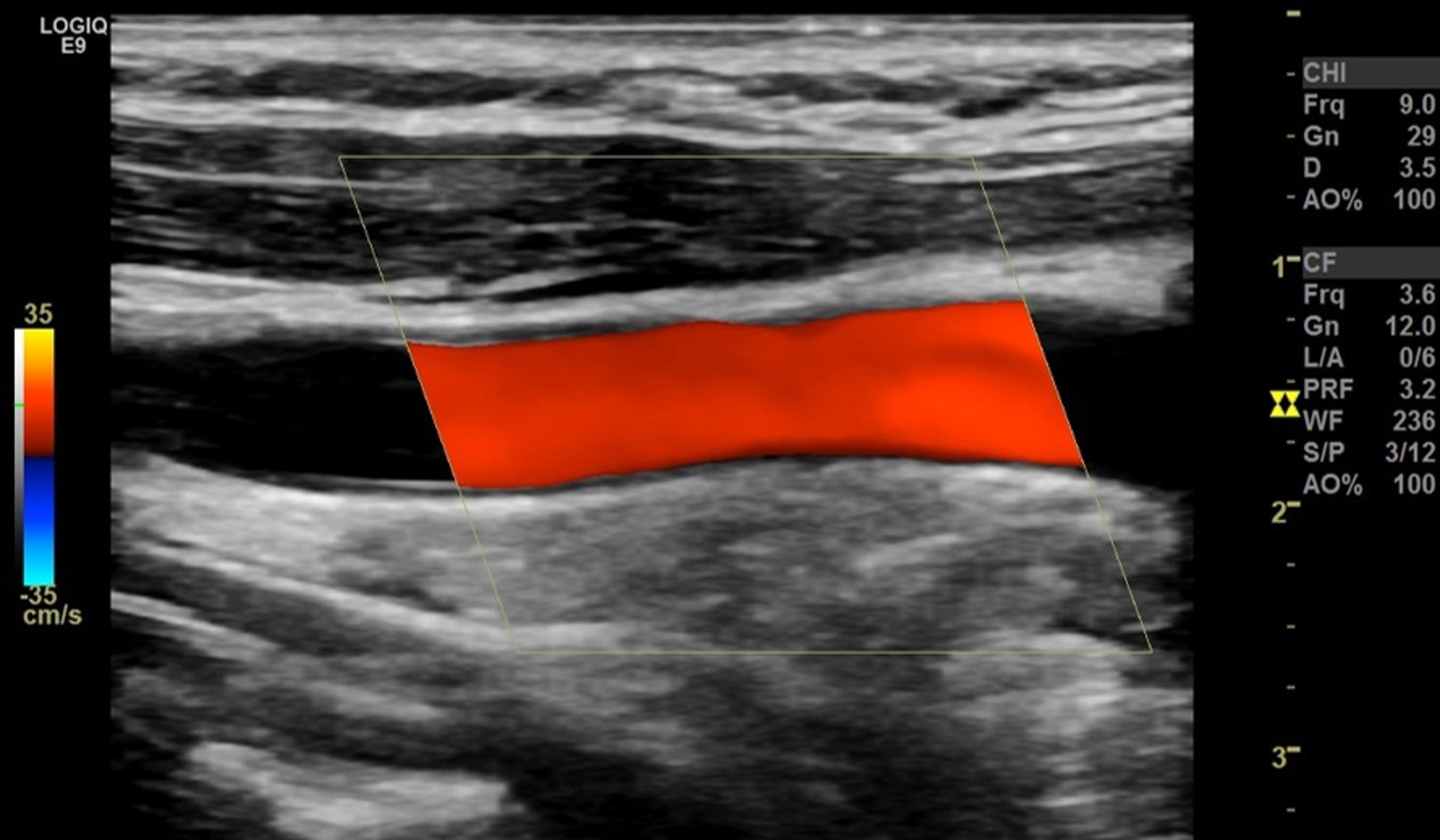
Ecografia color Doppler dell’arteria carotide
La striscia rossa rappresenta il flusso ematico normale senza ostruzioni attraverso una grande arteria del collo (arteria carotide comune), vista dal lato.
Immagine fornita dal Dott. Mustafa Mafraji
In questi argomenti
