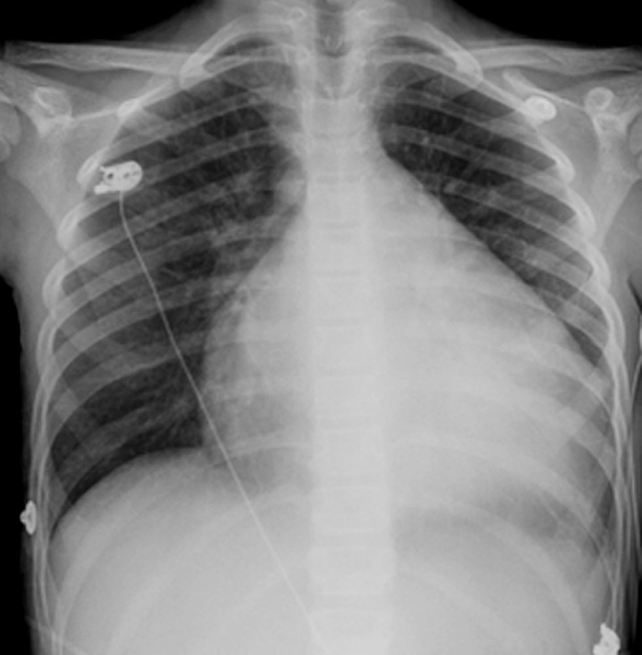
Cuore ingrossato
Il cuore è la struttura globulare e bianca al centro del torace. In genere occupa meno della metà della cavità toracica, ma in questo paziente con cuore ingrossato (cardiomiopatia), il cuore occupa quasi 3/4 della cavità toracica.
© Springer Science+Business Media
In questi argomenti
