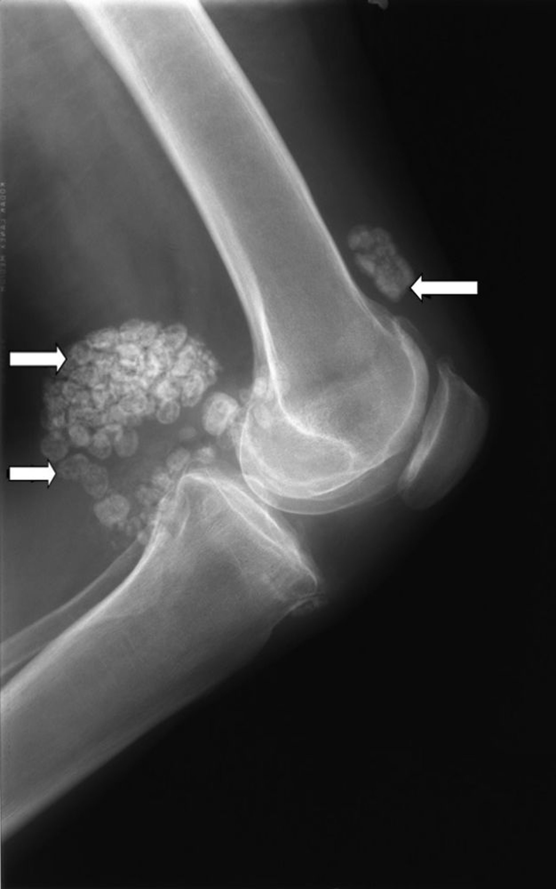
Condromatosi sinoviale
Radiografia del ginocchio che mostra numerosi nodi di cartilagine (frecce) noti come condromatosi sinoviale.
Per gentile concessione di Michael J. Joyce, MD e Hakan Ilaslan, MD.
In questi argomenti
Radiografia del ginocchio che mostra numerosi nodi di cartilagine (frecce) noti come condromatosi sinoviale.
Per gentile concessione di Michael J. Joyce, MD e Hakan Ilaslan, MD.