Cisti ossea unicamerale
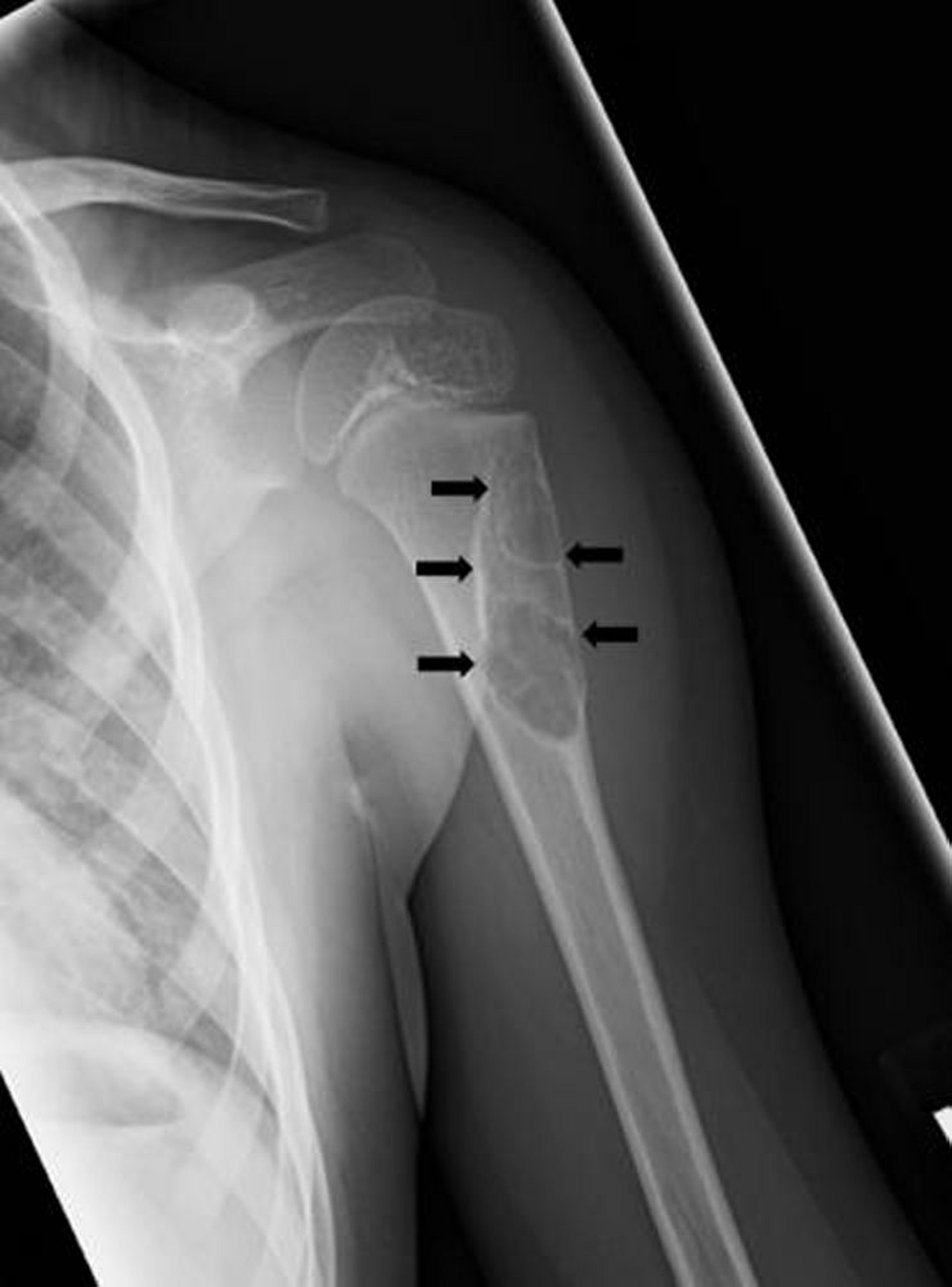
Radiografia che mostra una cisti ossea unicamerale (frecce) nell’osso del braccio.
Per gentile concessione di Michael J. Joyce, MD e Hakan Ilaslan, MD.
In questi argomenti
Radiografia che mostra una cisti ossea unicamerale (frecce) nell’osso del braccio.
Per gentile concessione di Michael J. Joyce, MD e Hakan Ilaslan, MD.