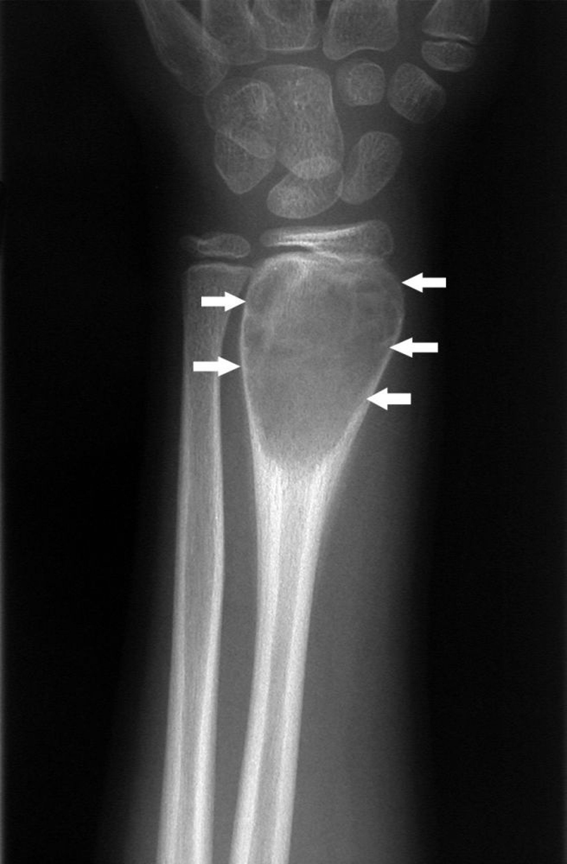
Cisti ossea aneurismatica
Radiografia del polso che mostra una cisti ossea aneurismatica (frecce).
Per gentile concessione di Michael J. Joyce, MD e Hakan Ilaslan, MD.
In questi argomenti
Radiografia del polso che mostra una cisti ossea aneurismatica (frecce).
Per gentile concessione di Michael J. Joyce, MD e Hakan Ilaslan, MD.