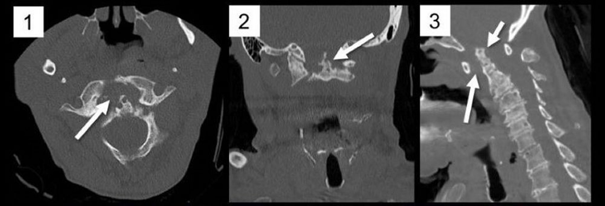
Sublussazione atlanto-assiale (TC)
Le ricostruzioni multiplanari di una TC della colonna cervicale nei piani assiale (1), coronale (2) e sagittale (3) mostrano un marcato allargamento dell'intervallo atlantodentale anteriore secondario alla formazione del pannus come avviene nell'artrite reumatoide (1, freccia; 3, freccia lunga), causando una sublussazione posteriore e un'impressione basilare del processo odontoideo C2 (3, freccia corta). Il processo odontoideo è marcatamente eroso (2, freccia), un tipico reperto nell'artrite reumatoide.
Image courtesy of A. John Tsiouris, MD.
In questi argomenti
