Pustula
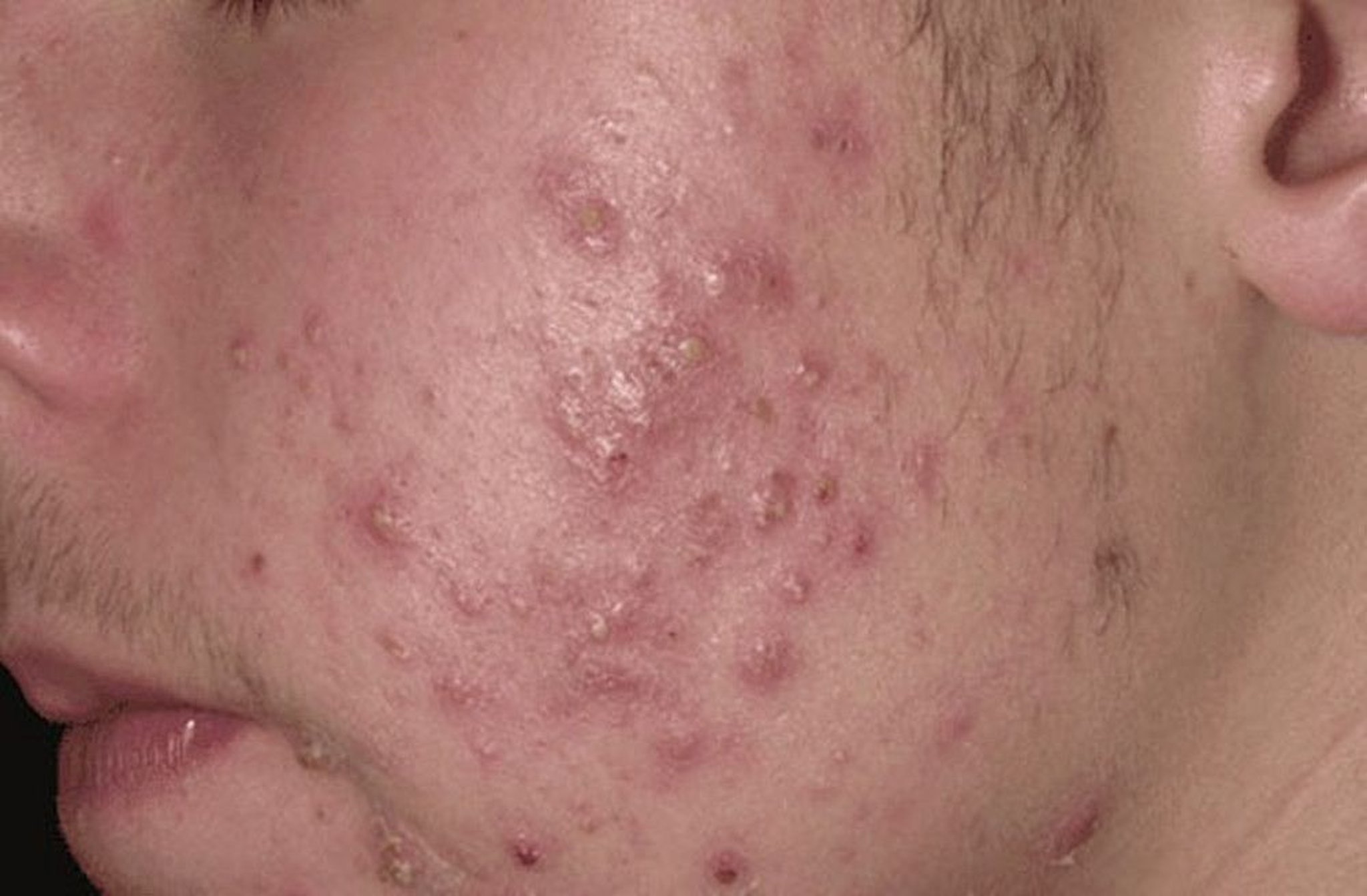
Pustula biasaya adalah bercak-bercak timbul berwarna kuning yang mengandung nanah. Pustula yang tersebar muncul di wajah orang ini dengan jerawat.
Foto disediakan oleh Thomas Habif, MD.
Pustula biasaya adalah bercak-bercak timbul berwarna kuning yang mengandung nanah. Pustula yang tersebar muncul di wajah orang ini dengan jerawat.
Foto disediakan oleh Thomas Habif, MD.