Osteosarcoma
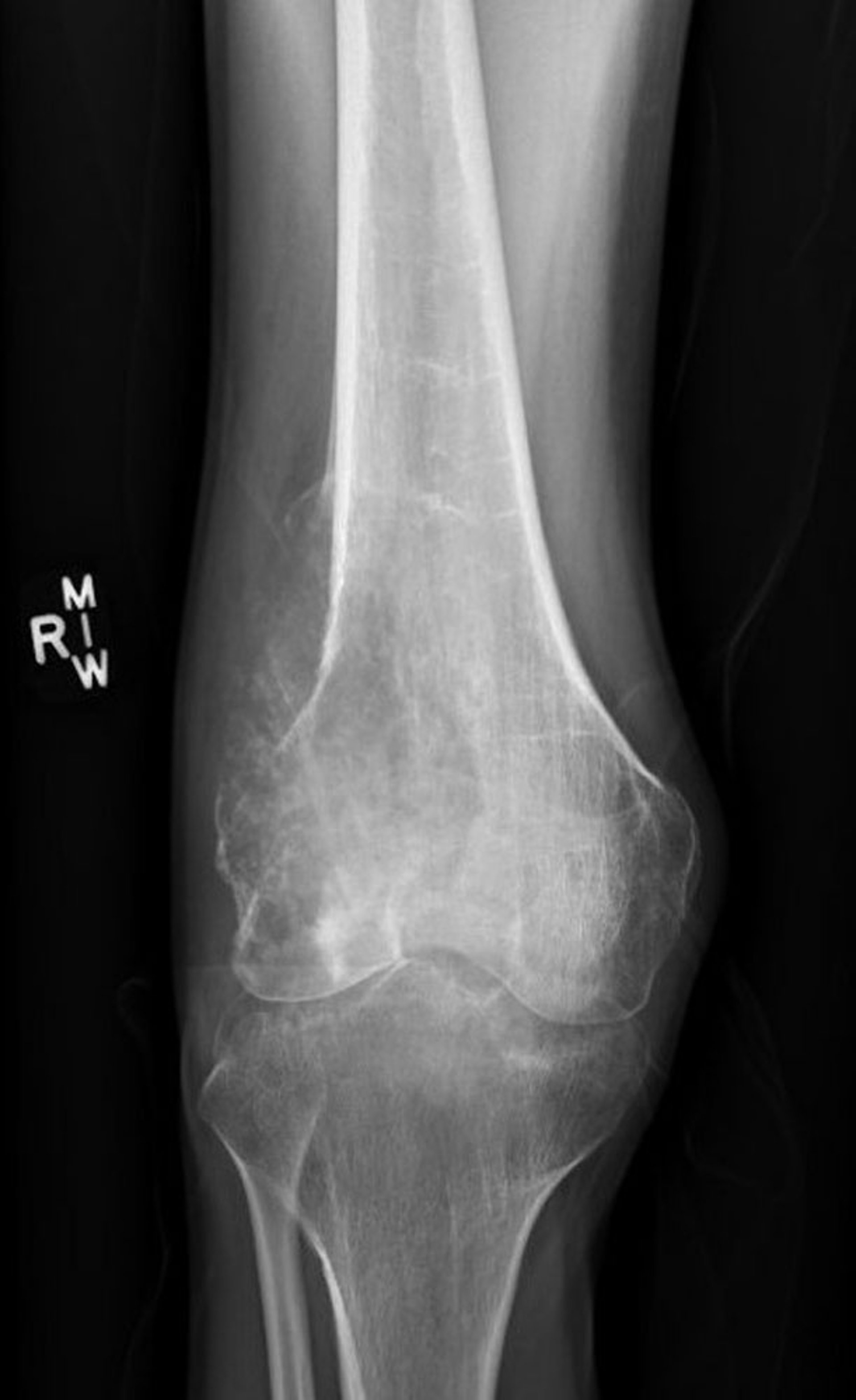
This x-ray of the knee shows an osteosarcoma in the thigh bone (femur) above the knee.
Image courtesy of Lukas Nystrom, MD.
In these topics
This x-ray of the knee shows an osteosarcoma in the thigh bone (femur) above the knee.
Image courtesy of Lukas Nystrom, MD.