Koplik Spots in Measles (2)
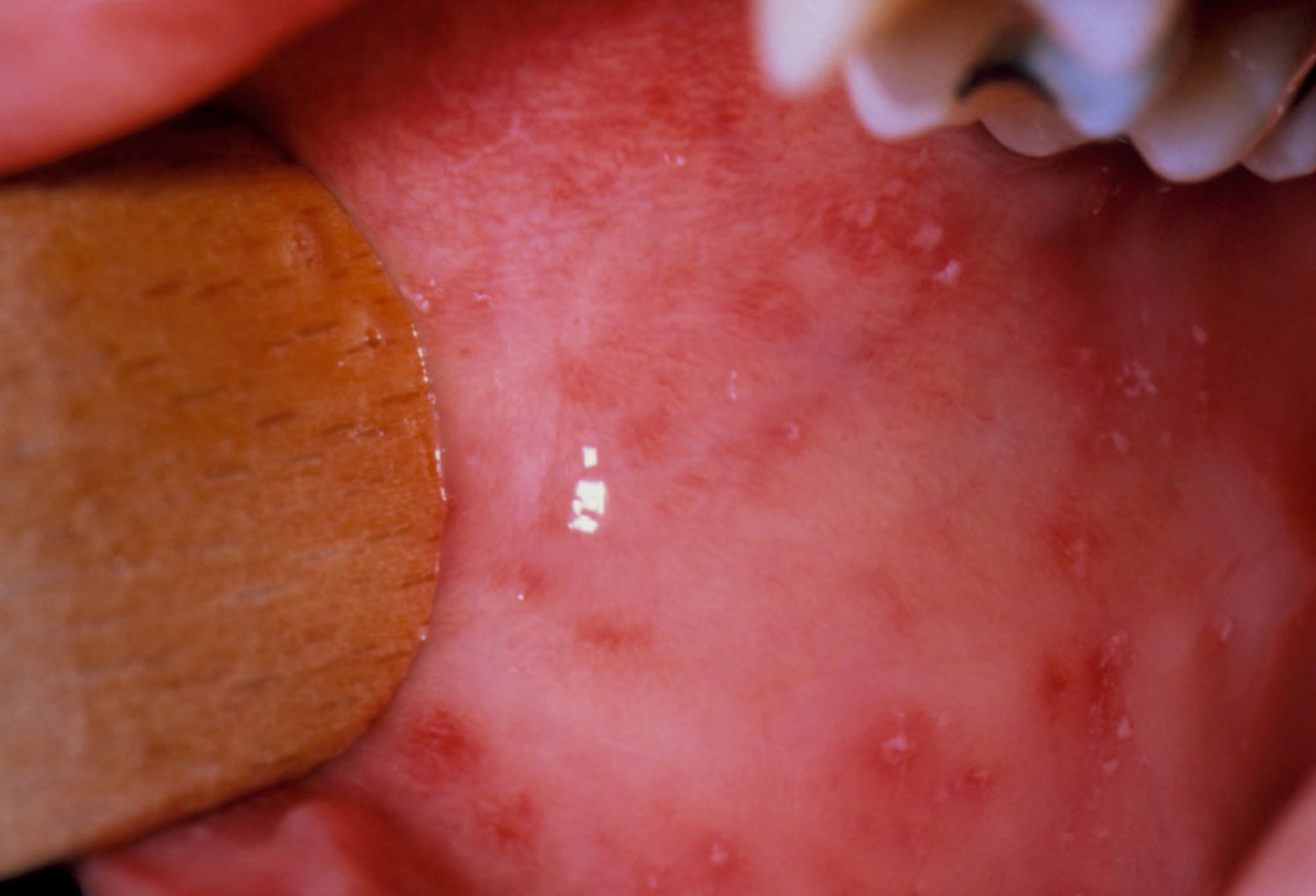
Koplik spots are bright red spots with white or bluish white centers that may resemble grains of sand. They may occur anywhere in the mouth in people who have measles.
DR P. MARAZZI/SCIENCE PHOTO LIBRARY
In these topics
Koplik spots are bright red spots with white or bluish white centers that may resemble grains of sand. They may occur anywhere in the mouth in people who have measles.
DR P. MARAZZI/SCIENCE PHOTO LIBRARY