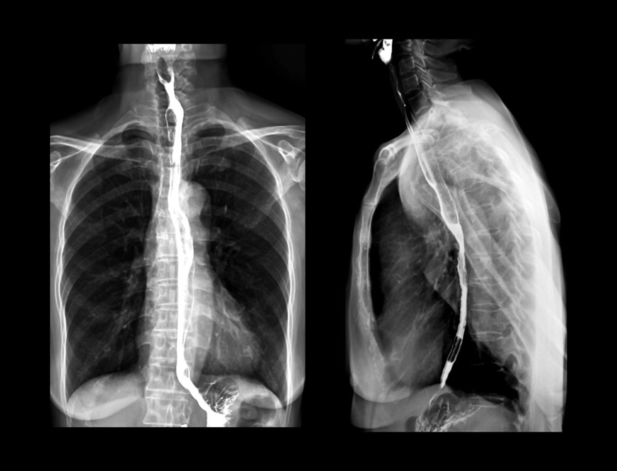
Barium Swallow X-Rays
For a barium swallow test, people are given barium in a liquid to drink before x-rays are taken. In these x-rays, the barium is the white liquid that is outlining the esophagus.
samunella/stock.adobe.com
In these topics
For a barium swallow test, people are given barium in a liquid to drink before x-rays are taken. In these x-rays, the barium is the white liquid that is outlining the esophagus.
samunella/stock.adobe.com