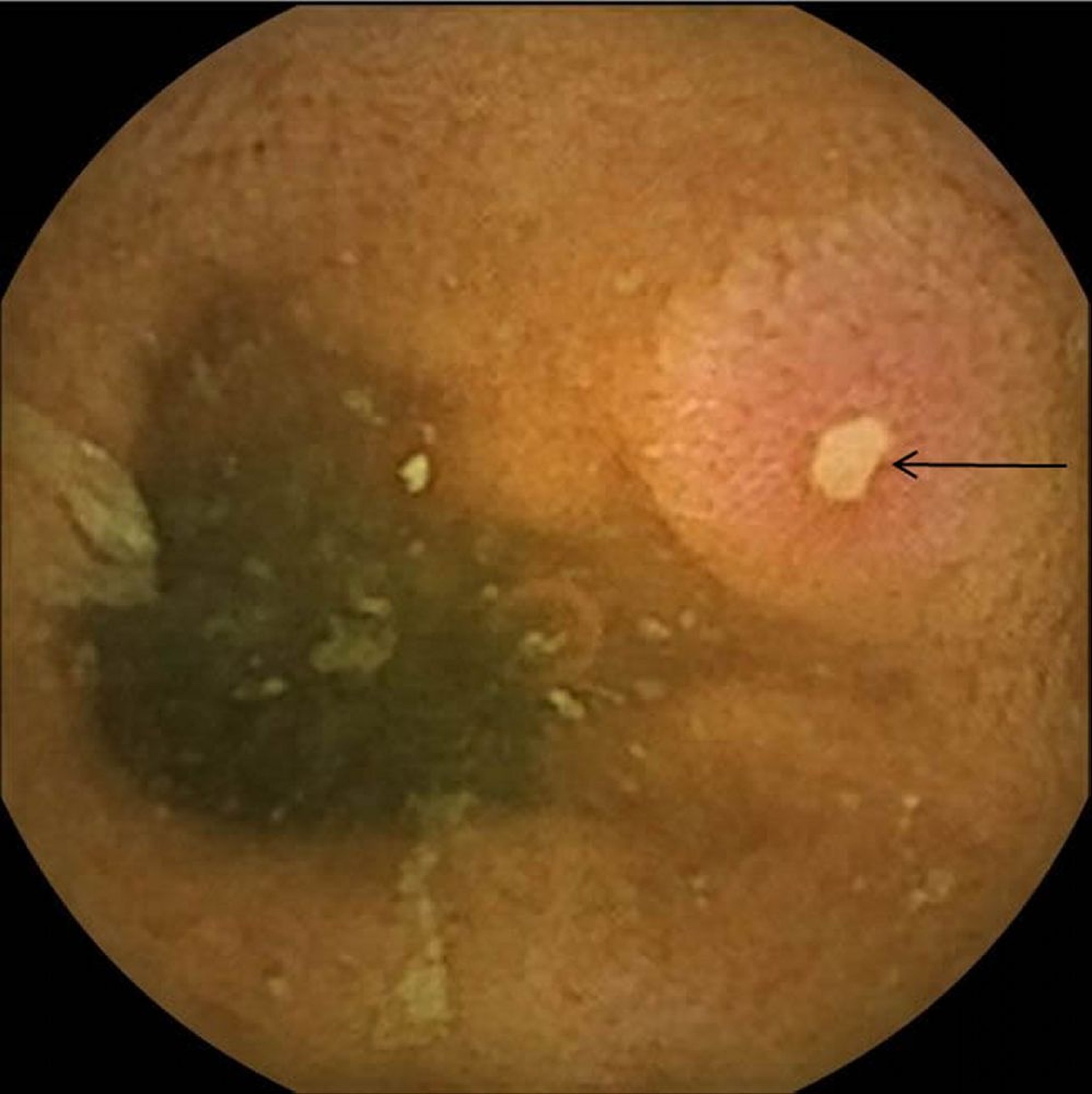
क्रोन की बीमारी में अल्सर
यह तस्वीर क्रोन की बीमारी की वजह से हुए आँत में एक छोटा अल्सर (तीर) दिखाती है।
फ़ोटो डॉ. आरोन ई. वालफिश और राफ़ेल ए. चिंग कंपैनिओनी के सौजन्य से।
इन विषयों में
यह तस्वीर क्रोन की बीमारी की वजह से हुए आँत में एक छोटा अल्सर (तीर) दिखाती है।
फ़ोटो डॉ. आरोन ई. वालफिश और राफ़ेल ए. चिंग कंपैनिओनी के सौजन्य से।