साइनोविअल कॉन्ड्रोमेटोसिस
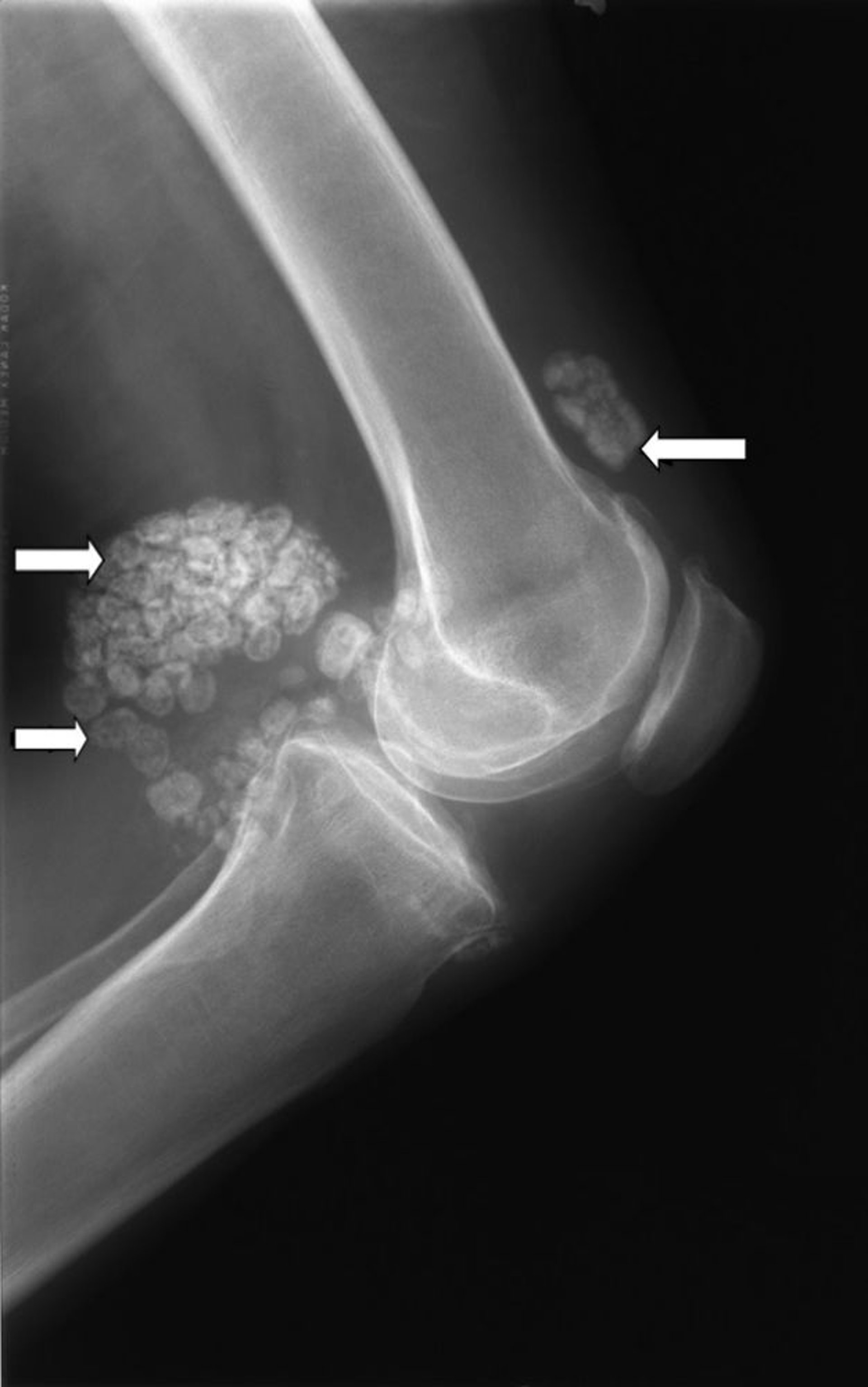
घुटने का यह एक्स-रे साइनोविअल कॉन्ड्रोमेटोसिस नामक कार्टिलेज के एक से अधिक गुच्छों (तीर) को दिखाता है।
मिशेल जे. जॉयस, MD, और हैकन इलास्लैन MD के छवि सौजन्य से।
इन विषयों में
घुटने का यह एक्स-रे साइनोविअल कॉन्ड्रोमेटोसिस नामक कार्टिलेज के एक से अधिक गुच्छों (तीर) को दिखाता है।
मिशेल जे. जॉयस, MD, और हैकन इलास्लैन MD के छवि सौजन्य से।