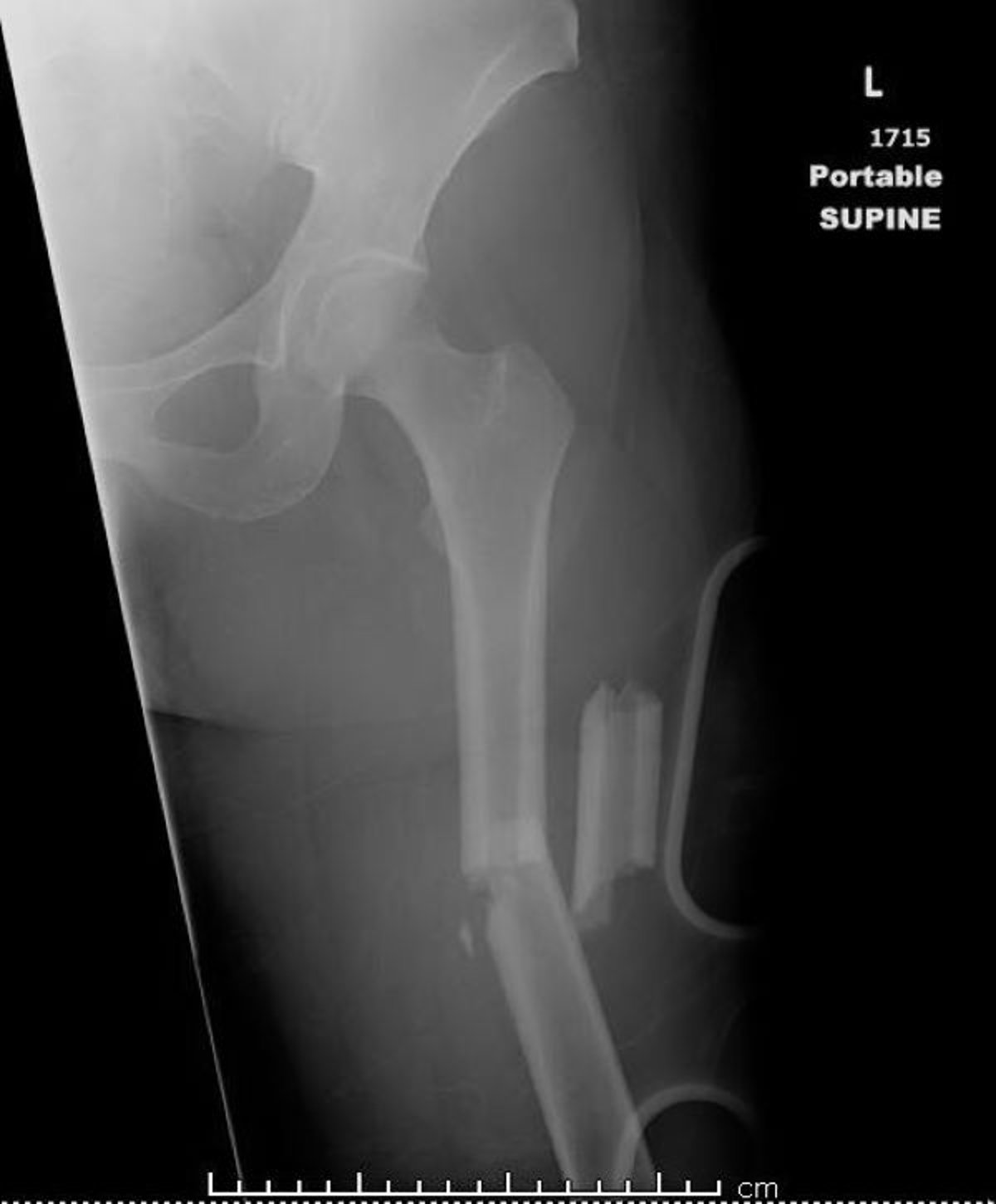
मिडशाफ़्ट जांघ की हड्डी का फ्रैक्चर
यह छवि एक फ़ीमर दिखाती है जो दो से अधिक स्थानों पर टूटी हुई (विखंडित) है।
डैनिएल कैम्पान्ये, MD का छवि सौजन्य।
इन विषयों में
यह छवि एक फ़ीमर दिखाती है जो दो से अधिक स्थानों पर टूटी हुई (विखंडित) है।
डैनिएल कैम्पान्ये, MD का छवि सौजन्य।