हाइड्रोकार्बन को सांस में लेने के कारण होने वाला रासायनिक न्यूमोनाइटिस
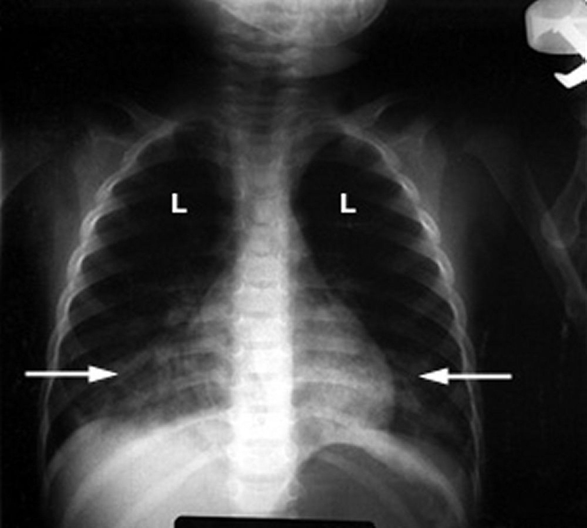
शिशु में एक असामान्य छाती का एक्स-रे फेफड़ों (L) में सफेद फल्फी इनफिल्ट्रेशन (तीर) दिखाता है, जो सूजन का संकेत देता है। यह खोज हाइड्रोकार्बन विषाक्तता के कारण फेफड़ों की क्षति के लिए विशिष्ट है।
जी. श्मिट, MD के सौजन्य से।
इन विषयों में
