Le duodénum peut être obstrué par atrésie, par sténose et par une compression exercée par une masse extrinsèque. L'atrésie duodénale et autres causes d'obstruction duodénale sont souvent associées au syndrome de Down. Le diagnostic repose sur l'imagerie. Le traitement est la réparation chirurgicale.
(Voir aussi Revue générale des anomalies gastro-intestinales congénitales.)
Atrésie duodénale
L'atrésie duodénale est la deuxième atrésie la plus fréquente du tube digestif. La fréquence est de 1 sur 10 000 naissances vivantes (1). L'atrésie duodénale est due à un défaut de canalisation du duodénum embryonnaire. Ce défaut peut être lié à un événement ischémique ou à des facteurs génétiques.
L'atrésie duodénale, contrairement à d'autres atrésies intestinales, est souvent associée à d'autres anomalies congénitales; environ 25 à 40% des nourrissons qui ont une atrésie duodénale ont un syndrome de Down (1). D'autres anomalies associées comprennent le syndrome VACTERL (vertebral anomalies, anal atresia, cardiac malformations, tracheoesophageal fistula, esophageal atresia, renal anomalies and radial aplasia, and limb anomalies [Malformations vertébrales, Atrésie anale, Malformations cardiaques congénitales, Fistule trachéo-œsophagienne, Atrésie œsophagienne, Anomalies rénales, Anomalies des membres]), malrotation, pancréas annulaire, anomalies biliaires, et anomalies mandibulofaciales.
Le diagnostic d'atrésie duodénale est suspecté avant la naissance en cas d'hydramnios et/ou de dilatation de l'estomac. L'échographie prénatale peut détecter un signe de bulle double (une grande bulle gastrique et une plus petite bulle duodénale proximale) dans jusqu'à 80% des cas (2).
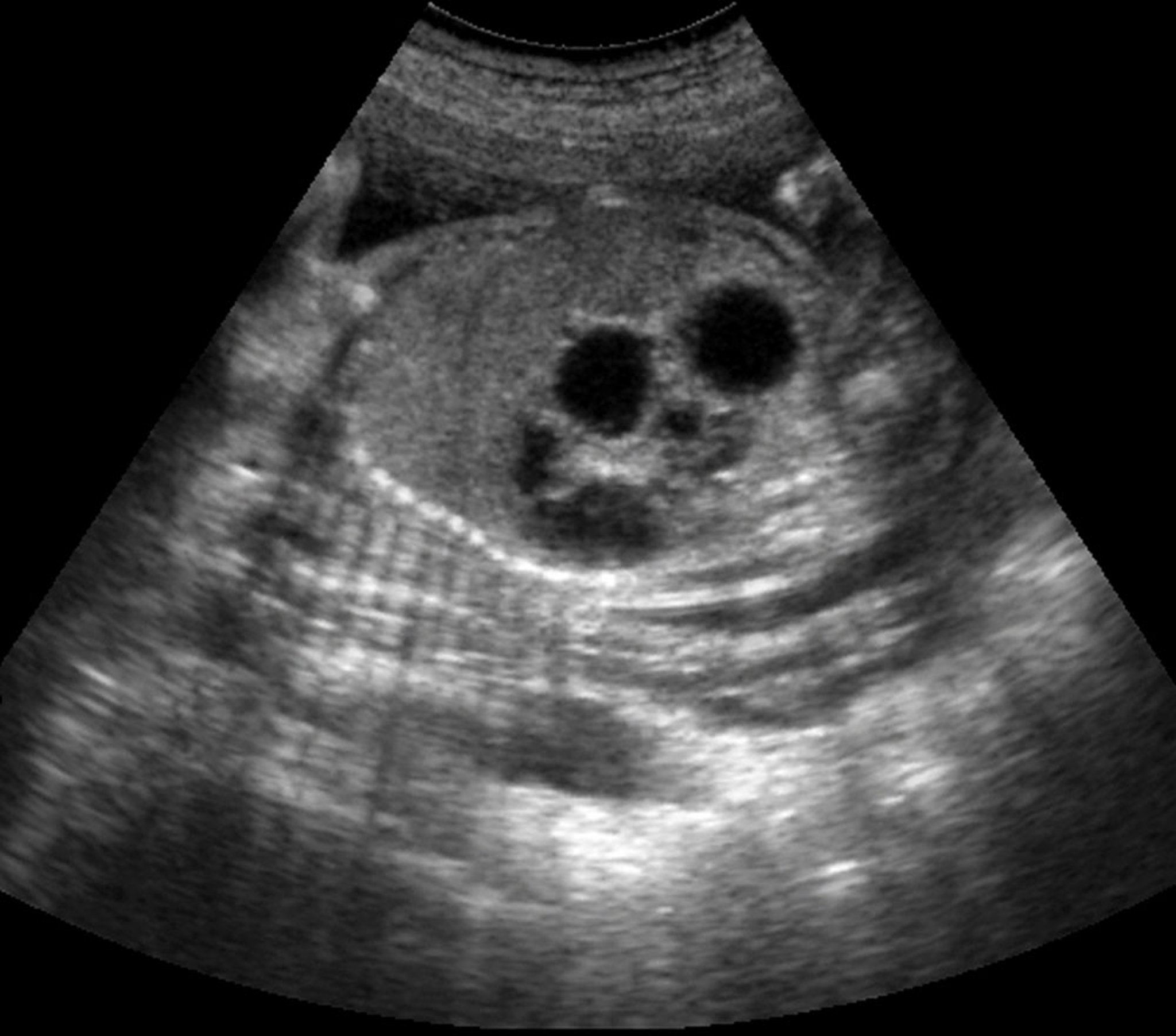
Cette échographie montre le signe de la double bulle chez un fœtus avec atrésie duodénale.
DR NAJEEB LAYYOUS/SCIENCE PHOTO LIBRARY
Cette radiographie montre le signe de double bulle typique observé en cas d'obstruction duodénale complète. La petite bulle représente le duodénum dilaté proximal (flèche blanche); la grande bulle représente l'estomac (flèche noire). Ce signe peut être observé en cas d'atrésie duodénale, de diaphragme duodénal, de pancréas annulaire et de veine porte préduodénale. Rarement, il peut également être observé en cas d'obstruction duodénale complète résultant de bandes de Ladd chez un patient qui a une malrotation.
Après la naissance, les nourrissons atteints d'atrésie duodénale présentent initialement des difficultés à s'alimenter et des vomissements souvent bilieux. Le diagnostic est suspecté sur la clinique et la présence classique d'une image radiographique en "double bulle", une bulle gastrique et l'autre dans le duodénum proximal; le reste du tube digestif est peu, voire pas, aéré. Bien qu'une opacification gastro-intestinale haute permette d'établir un diagnostic de certitude, cet examen doit être réalisé avec prudence par un radiologue ayant l'expérience de cette procédure chez l'enfant, afin d'éviter toute fausse route, et il n'est pas habituellement nécessaire si une chirurgie doit avoir lieu immédiatement. Si la chirurgie doit être retardée (p. ex., par d'autres problèmes médicaux, comme un syndrome de détresse respiratoire, ou la nécessité de stabiliser le nourrisson), un lavement baryté doit être effectué pour confirmer que le signe de la double bulle n'est pas dû à une malrotation.
Une fois la maladie suspectée, les nourrissons doivent être laissés à jeun et une sonde nasogastrique doit être placée afin de décomprimer l'estomac.
Le traitement curateur est chirurgical.
Sténose duodénale
Cette anomalie est moins fréquente que l'atrésie duodénale mais se présente de façon similaire et nécessite une intervention chirurgicale. De même que l'atrésie, la sténose duodénale est souvent associée au syndrome de Down.
Kyste du cholédoque
Un kyste cholédocien peut entraîner une occlusion duodénale par compression extrinsèque. L'incidence varie d'environ 1 personne sur 100 000 aux États-Unis ou en Europe à 1 personne sur 13 000 au Japon (3). Plus de la moitié des cas signalés se produisent au Japon. Certaines données probantes sont en faveur d'une augmentation de l'incidence des kystes cholédociens (4).
Les nourrissons porteurs d'un kyste du cholédoque présentent généralement initialement la triade douleur abdominale (un signe très difficile à identifier chez le nouveau-né), une masse de l'hypochondre droit et un ictère. Si le kyste est volumineux, il peut également se présenter avec différents degrés d'occlusion duodénale. Les nouveau-nés peuvent présenter une cholestase. Chez certains nourrissons, la pancréatite est un élément associé.
Les kystes du cholédoque sont le plus souvent identifiés par l'échographie. Ces kystes peuvent être définis plus avant en utilisant la cholangiopancréatographie par résonance magnétique, la CPRE (cholangiopancréatographie rétrograde endoscopique) ou l'écho-endoscopie.
Le traitement du kyste cholédocien est chirurgical et nécessite une exérèse complète du kyste du fait du risque élevé (7 à 30%) de développer un cancer dans le reliquat du kyste (5, 6). La procédure chirurgicale la plus fréquemment utilisée est l'hépaticojéjunostomie en Y de Roux. Cette procédure est habituellement effectuée par voie laparoscopique. Certaines études récentes ont observé que le résultat peut être amélioré par la chirurgie assistée par robot. Le risque de cancer est réduit mais non éliminé par une résection complète (7).
Pancréas annulaire
Le pancréas annulaire est une anomalie congénitale rare (5 à 15/100 000 naissances vivantes) (8) et est souvent associé au syndrome de Down. Dans cette anomalie, le tissu pancréatique encercle la deuxième portion du duodénum, causant une obstruction duodénale.
Environ 2/3 des sujets touchés restent asymptomatiques. Parmi ceux qui développent des symptômes, la plupart se manifestent dans la période néonatale, mais la présentation clinique peut être retardée jusqu'à l'âge adulte. Les nouveau-nés présentent initialement des difficultés à s'alimenter et des vomissements qui peuvent être bilieux.
Le diagnostic de pancréas annulaire peut être suggéré par une radiographie de l'abdomen montrant le même signe de double bulle que celui observé dans l'atrésie duodénale. Le diagnostic peut également être posé par une opacification gastro-intestinale haute et est établi de façon plus précise par la TDM ou la cholangiopancréatographie IRM. La CPRE (cholangiopancréatographie rétrograde endoscopique) peut être effectuée chez les enfants plus âgés.
Le traitement du pancréas annulaire est le pontage chirurgical du pancréas annulaire avec duodénoduodénostomie, duodénojéjunostomie ou gastrojéjunostomie. La résection du pancréas doit être évitée en raison de complications potentielles liées à la pancréatite et au développement d'une fistule pancréatique.
Malrotation
L'obstruction duodénale due à la malrotation est rare, ne représentant qu'une partie des nourrissons présentant une malrotation « symptomatique » (1/2500 à 6000) (9).
Références
1. Bethell GS, Long AM, Knight M, Hall NJ; BAPS-CASS. Congenital duodenal obstruction in the UK: a population-based study. Arch Dis Child Fetal Neonatal Ed. 2020;105(2):178-183. doi:10.1136/archdischild-2019-317085
2. Engwall-Gill AJ, Zhou AL, Penikis AB, et al. Prenatal sonography in suspected proximal gastrointestinal obstructions: Diagnostic accuracy and neonatal outcomes. J Pediatr Surg. 2023;58(6):1090-1094. doi: 10.1016/j.jpedsurg.2023.02.029
3. Soares KC, Kim Y, Spolverato G, et al. Presentation and clinical outcomes of choledochal cysts in children and adults: a multi-institutional analysis. JAMA Surg. 2015;150(6):577-584. doi:10.1001/jamasurg.2015.0226
4. Ohashi T, Wakai T, Kubota M, et al. Risk of subsequent biliary malignancy in patients undergoing cyst excision for congenital choledochal cysts. J Gastroenterol Hepatol. 2013;28(2):243-247. doi:10.1111/j.1440-1746.2012.07260.x
5. Søreide K, Søreide JA. Bile duct cyst as precursor to biliary tract cancer. Ann Surg Oncol. 2007;14(3):1200-1211. doi:10.1245/s10434-006-9294-3
6. Frenette C, Mendiratta-Lala M, Salgia R, Wong RJ, Sauer BG, Pillai A. ACG Clinical Guideline: Focal Liver Lesions. Am J Gastroenterol. 2024;119(7):1235-1271. doi:10.14309/ajg.0000000000002857
7. Bloomfield GC, Nigam A, Calvo IG, et al. Characteristics and malignancy rates of adult patients diagnosed with choledochal cyst in the West: a systematic review. J Gastrointest Surg. 2024;28(1):77-87. doi:10.1016/j.gassur.2023.11.007
8. Alkhayyat M, Bachour S, Abou Saleh M, et al. The epidemiology of annular pancreas in the United States: a population-based study. J Clin Gastroenterol. 2022;56(2):186-191. doi:10.1097/MCG.0000000000001531
9. Salehi Karlslätt K, Husberg B, Ullberg U, Nordenskjöld A, Wester T. Intestinal Malrotation in Children: Clinical Presentation and Outcomes. Eur J Pediatr Surg. 2024;34(3):228-235. doi:10.1055/s-0043-1764239



