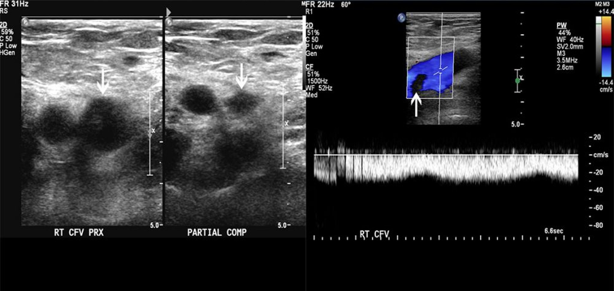
Échographie Doppler d'un patient qui a un thrombus dans la veine fémorale
L'image de gauche montre une compressibilité partielle de la veine fémorale commune (flèches). L'image de droite montre un défaut de remplissage du flux doppler couleur. Ces signes sont compatibles avec un thrombus.
© 2017 Elliot K. Fishman, MD.
Dans ces sujets
