Verrues buccales
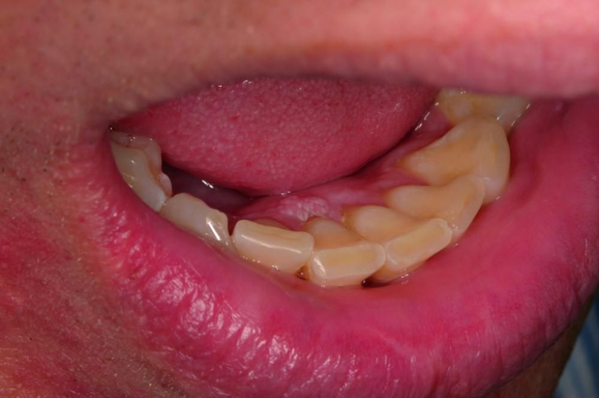
Verrue vulgaire de la gencive linguale antérieure. La lésion est plus blanche que les tissus environnants avec des projections en forme de poils.
© Springer Science+Business Media
Dans ces sujets
Verrue vulgaire de la gencive linguale antérieure. La lésion est plus blanche que les tissus environnants avec des projections en forme de poils.
© Springer Science+Business Media