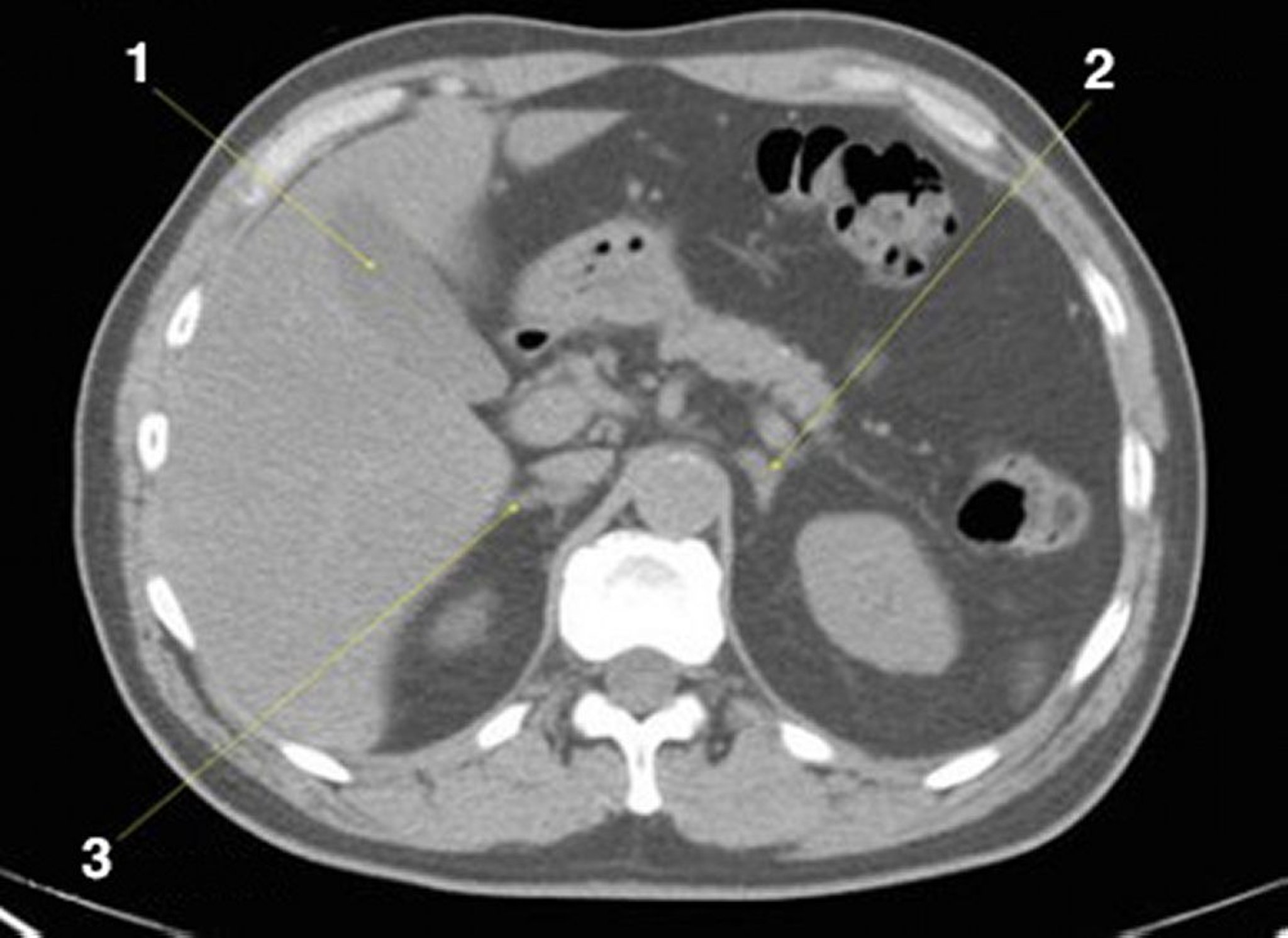
TDM sans contraste de l'abdomen et du bassin montrant une anatomie normale (diapositive 8)
1 = vésicule biliaire; 2 = glande surrénale gauche; 3 = glande surrénale droite.
© Springer Science+Business Media
Dans ces sujets
1 = vésicule biliaire; 2 = glande surrénale gauche; 3 = glande surrénale droite.
© Springer Science+Business Media