TDM du rein avec contraste (phases corticomédullaire et néphrogénique)
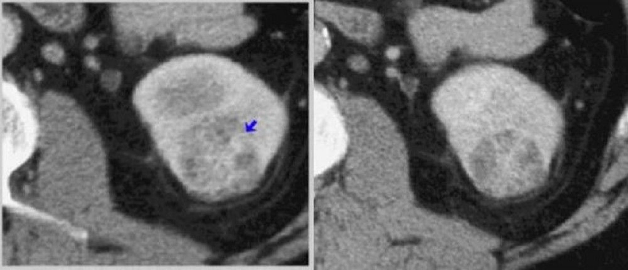
À gauche, une TDM en phase corticomédullaire montre une tumeur prise de contraste hétérogène (flèche). À droite, une TDM en phase néphrographique montre mieux la tumeur.
© Springer Science+Business Media
Dans ces sujets
