TDM de la tête
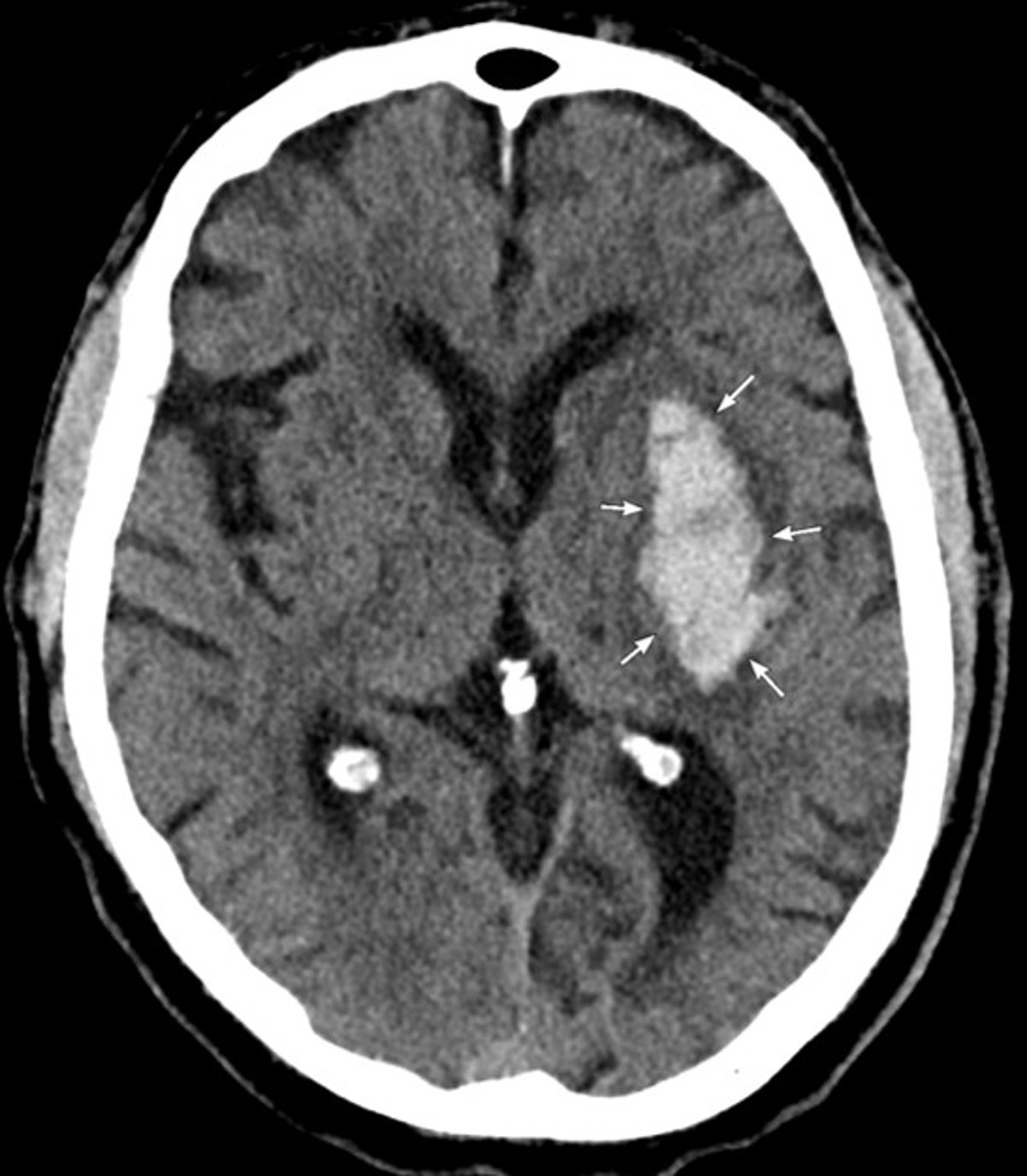
La TDM montre une hémorragie aiguë dans les noyaux gris centraux gauche compatible avec une hémorragie intracérébrale hypertensive.
Image courtoisie de Mustafa Mafraji, MD.
Dans ces sujets
La TDM montre une hémorragie aiguë dans les noyaux gris centraux gauche compatible avec une hémorragie intracérébrale hypertensive.
Image courtoisie de Mustafa Mafraji, MD.