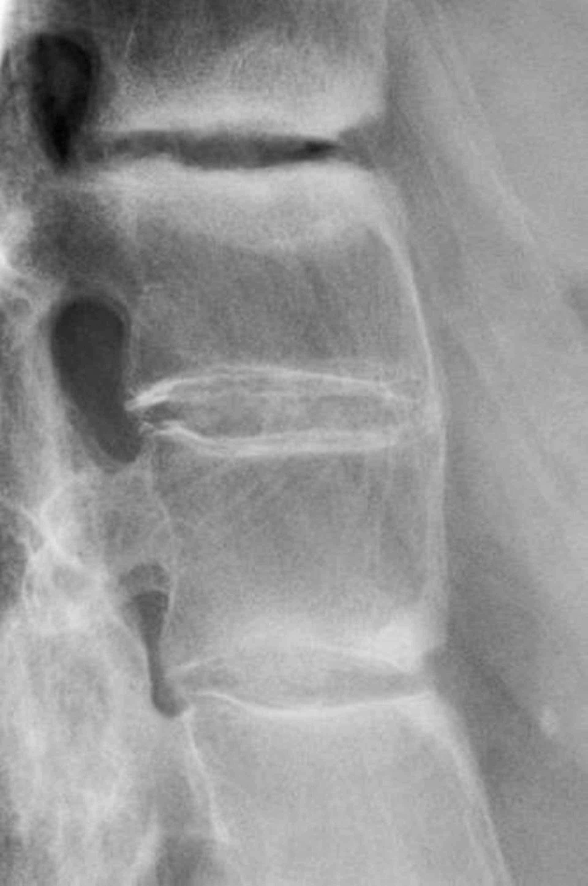
Spondylarthrite ankylosante
Cette radiographie montre une sclérose entre les vertèbres lombaires, une perte de la lordose et la fusion des vertèbres lombaires, un signe de spondylarthrite ankylosante avancée.
DR P. MARAZZI/SCIENCE PHOTO LIBRARY
Dans ces sujets
