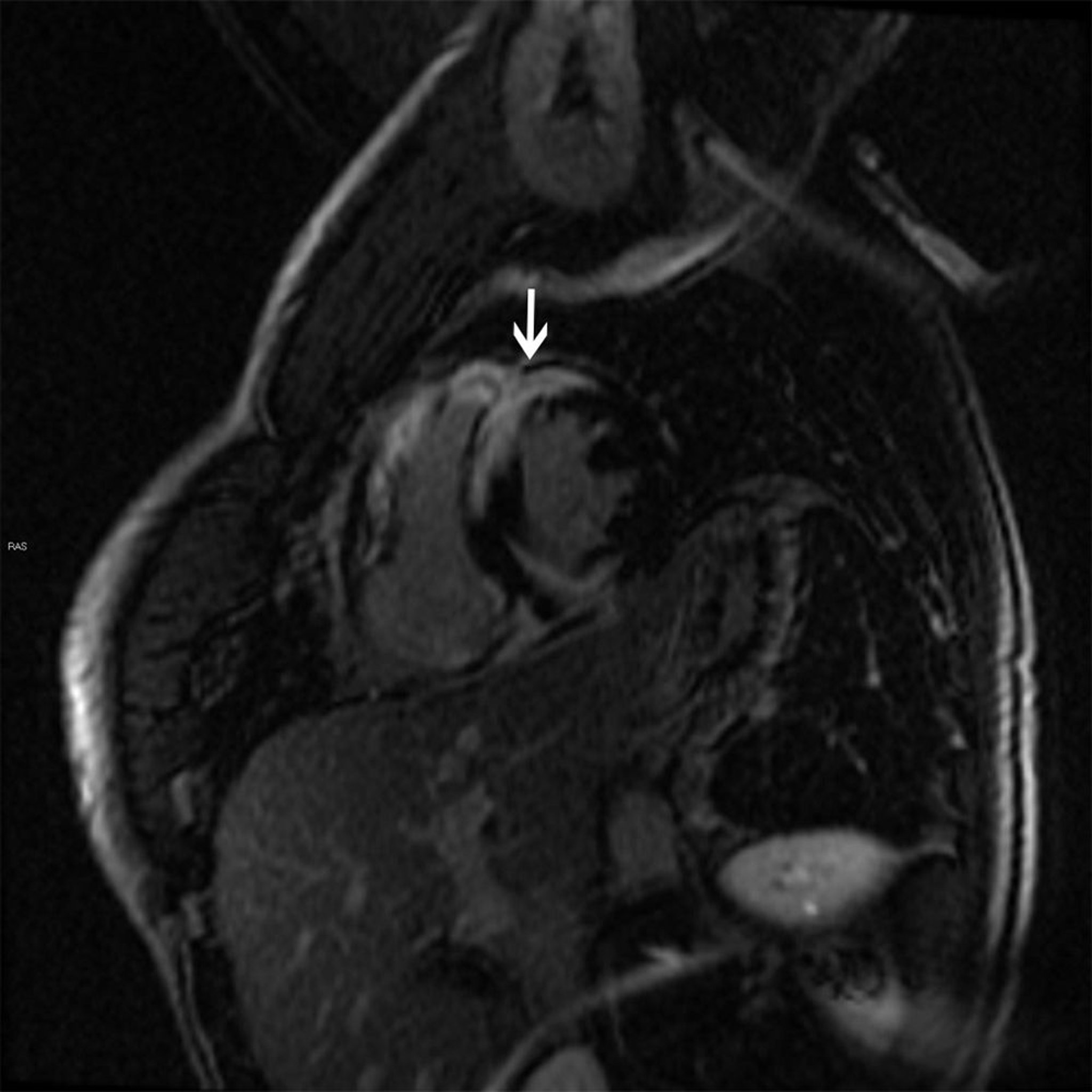
Signes IRM de sarcoïdose cardiaque
Cette IRM cardiaque montre un motif de rehaussement transmural tardif (flèche) au gadolinium caractéristique de la sarcoïdose qui peut provoquer une cardiomyopathie dilatée ou hypertrophique.
© 2017 Elliot K. Fishman, MD.
Dans ces sujets
